La chirurgie doit toujours être évoquée lorsqu’il existe un grand décalage entre un maxillaire et une mandibule en retrait. Ce type de déséquilibre sort du champ de l’orthodontie. Quand le profil est très perturbé, le diagnostic d’anomalie squelettique s’impose d’évidence. On ne doit pas s’acharner pendant des années à déplacer inutilement les dents, voire à en extraire : il faut corriger l’origine réelle du problème, une anomalie osseuse souvent génétique et héréditaire.
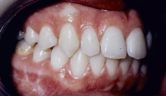
1 - Arcades dentaires avant-après
L’occlusion a été améliorée sur les plans fonctionnel et esthétique grâce à une préparation orthodontique suivie d’une avancée chirurgicale de la mandibule. Le décalage observé n’était pas lié aux dents elles-mêmes, mais à un recul squelettique mandibulaire. Cette correction évite les compensations inter-arcades instables dans le temps, fréquentes lorsque l’on tente de camoufler une anomalie osseuse par des mouvements dentaires seuls.


2 - Profil avant et après chirurgie orthognatique
Ce cas montre qu’une chirurgie bien conduite change non seulement la fonction masticatoire, mais transforme profondément le visage en améliorant son esthétique. Ce résultat n’est possible qu’après une analyse extrêmement poussée de l’architecture cranio-faciale : base du crâne, maxillaire, mandibule, plan d’occlusion, ATM. Cette analyse permet de concevoir le double traitement :orthodontique préopératoire d’abord, puis le geste chirurgical juste, qui assure fonction, harmonie du profil et stabilité des résultats.


