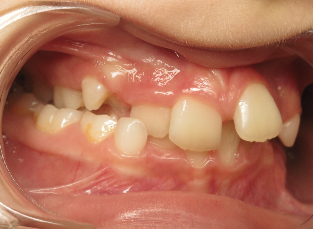
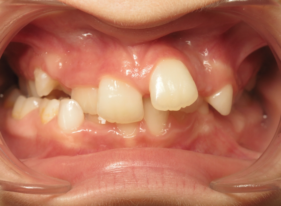
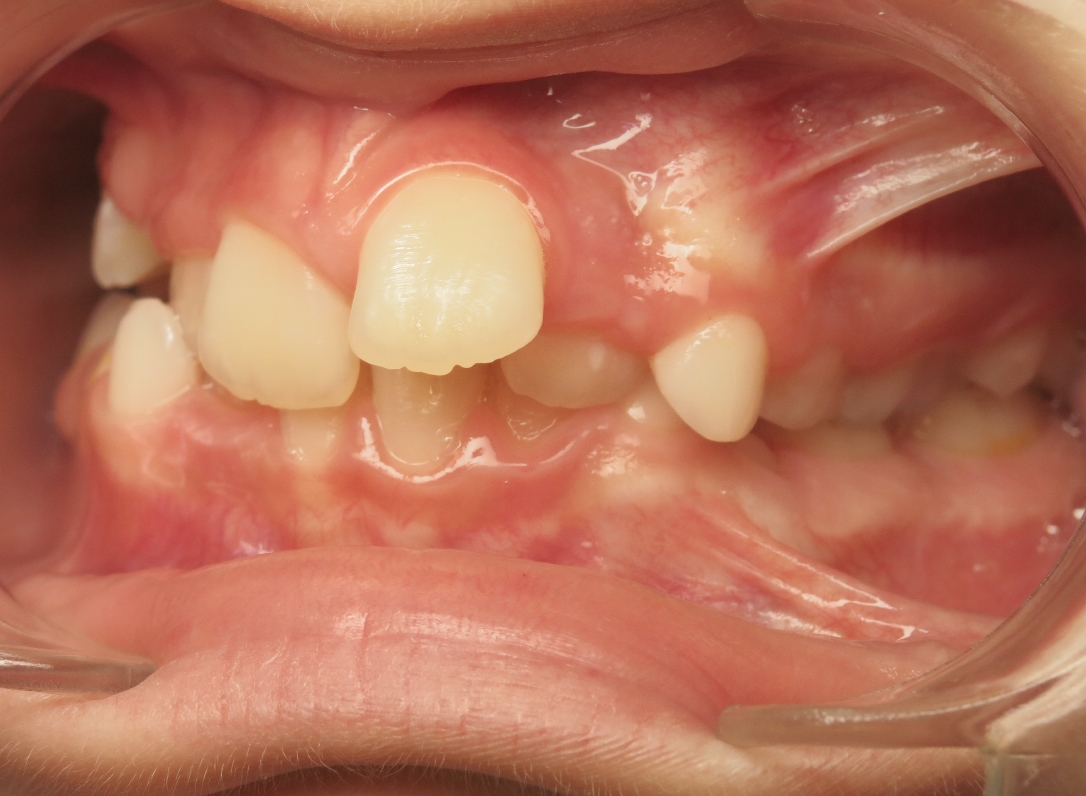
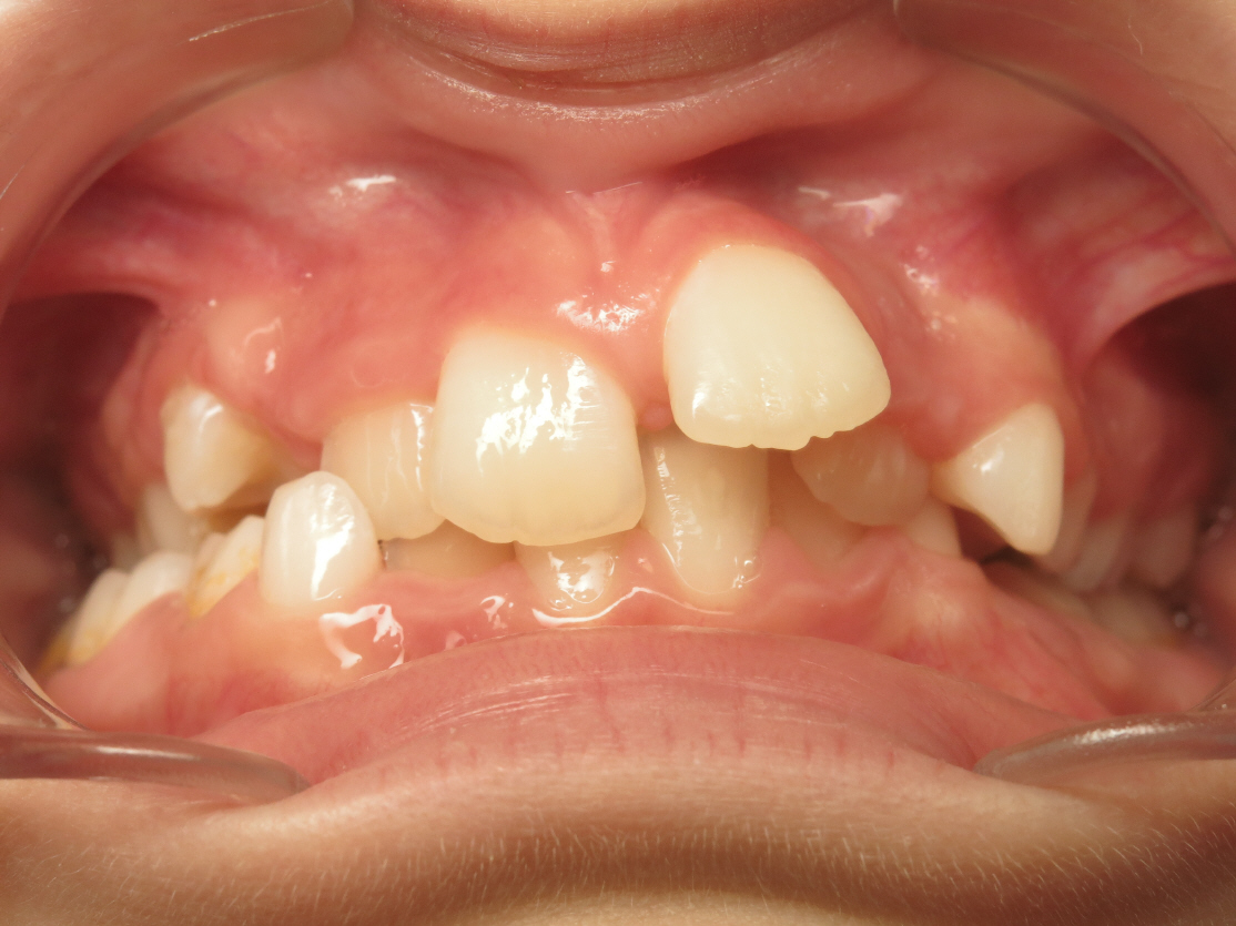
Ce traitement complexe a permis d’éviter la chirurgie grâce à une analyse rigoureuse de la structure crânio-faciale. Une jeune patiente présentait un palais trop étroit, un fort décalage entre les mâchoires, et une incisive mal positionnée très visible. Un plan de traitement précis, combinant expansion, alignement et orthopédie fonctionnelle, a permis une correction complète et harmonieuse.
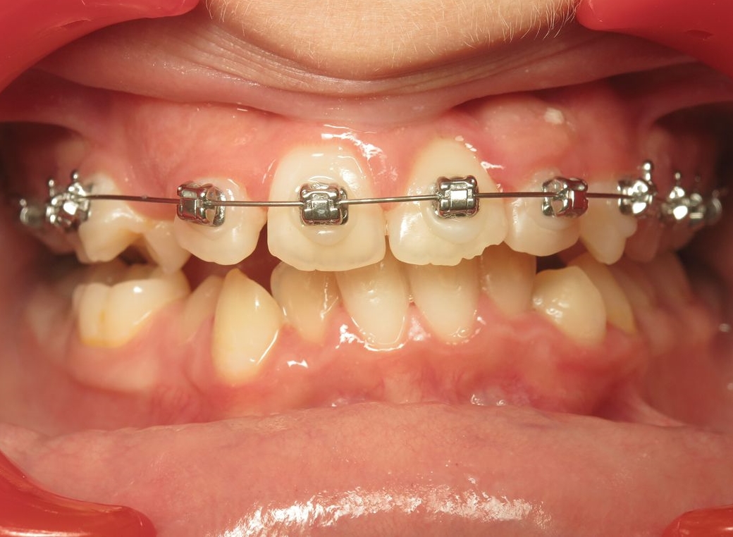
1 - Arcades avant/après
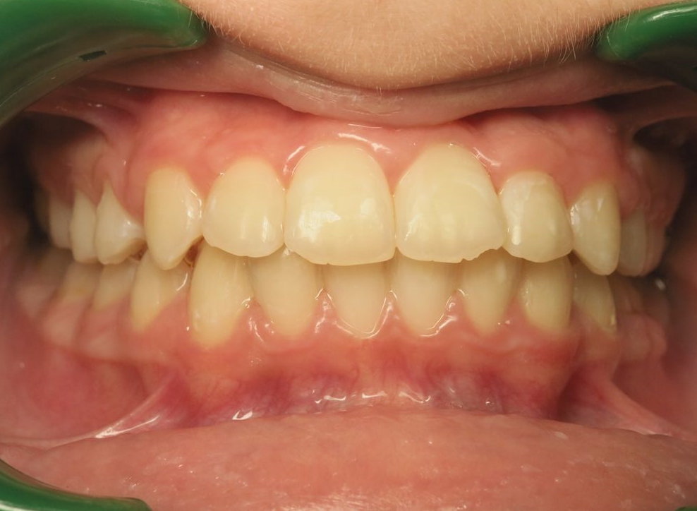
On observe un encombrement dentaire important et un palais étroit avec déviation fonctionnelle vers la droite avant traitement. Après traitement, les arcades sont élargies, alignées et bien coordonnées, sans extractions. L’élargissement maxillaire a permis de corriger l’articulé inversé et de libérer l’espace nécessaire à l’expression de la croissance mandibulaire.






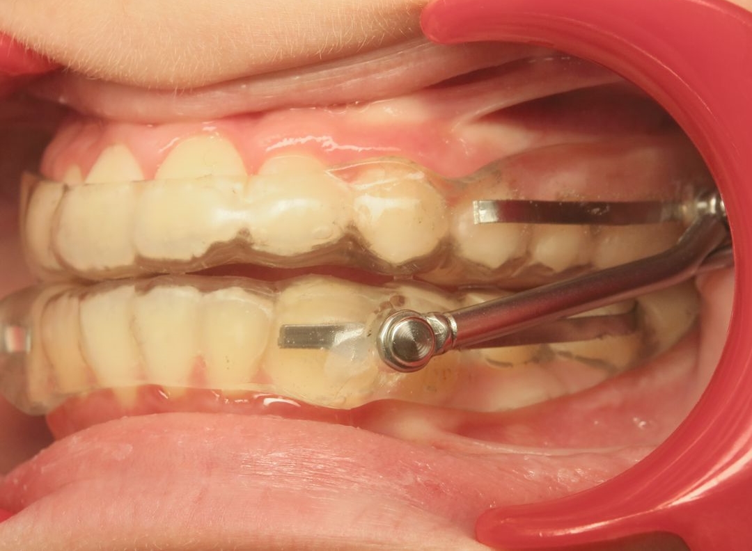
2 - Étapes du traitement
Le traitement a débuté par une expansion transversale du palais, indispensable pour corriger l’endomaxillie et permettre à la mandibule de se repositionner. Puis, un traitement multiattaches a aligné les dents. Enfin, un activateur de type Herbst a remplacé les bagues pour corriger le décalage squelettique, tout en accompagnant la croissance naturelle de la mandibule.






3 - Visage avant/après
Les photos de visage montrent clairement l’évolution du profil mandibulaire. Avant traitement, le menton était fuyant, le décalage visible. Après traitement, le visage est mieux structuré, le menton est redessiné, le sourire équilibré. L’absence de chirurgie a été possible grâce à la croissance guidée de la mandibule, révélée par l’analyse céphalométrique initiale.





