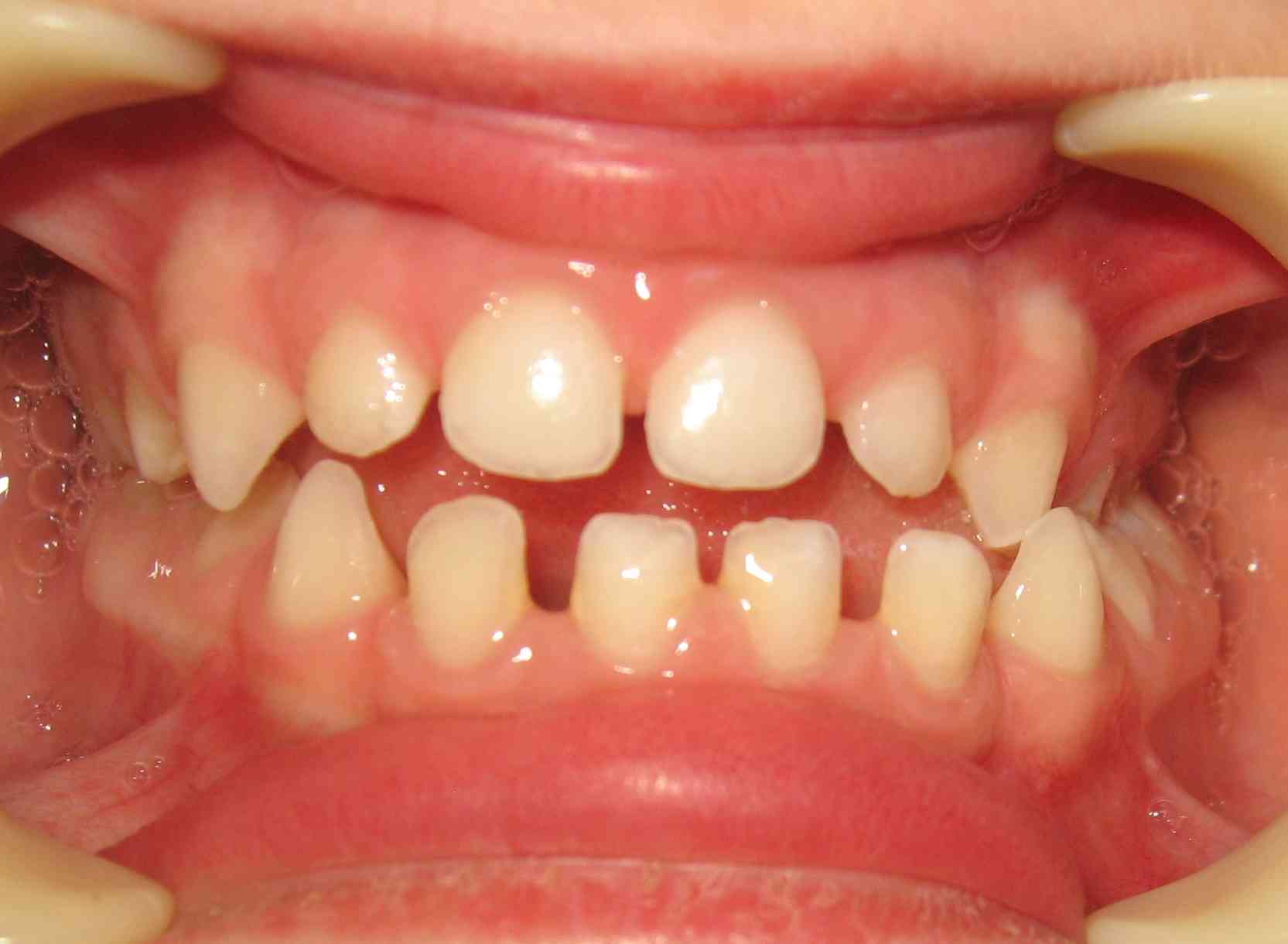
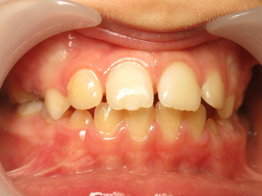
Ce cas illustre à quel point un diagnostic précoce peut transformer l’avenir d’un enfant. Ce jeune patient présentait un palais étroit, une béance antérieure liée à une mauvaise fonction linguale, et une déviation mandibulaire vers la gauche. Grâce à un traitement interceptif ciblé, basé sur l’élargissement du palais et la rééducation fonctionnelle, la symétrie du visage a été restaurée sans recourir à des bagues ni à la chirurgie.
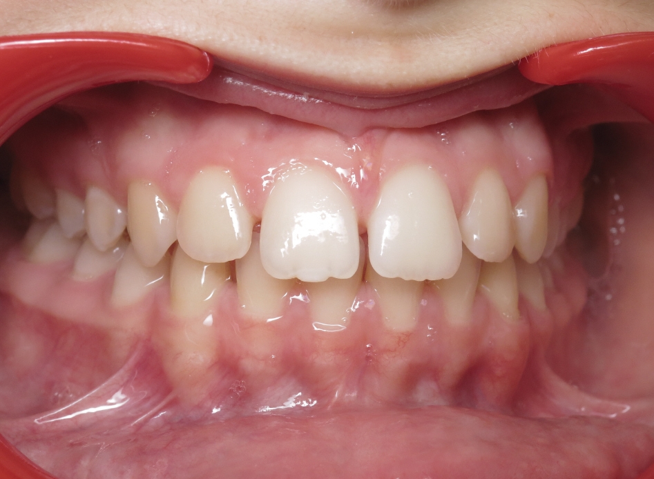
1 - Arcades avant/après
On voit ici la correction spectaculaire de la latéromandibulie vers la gauche et de la béance antérieure liée à une dysfonction linguale. L’élargissement du palais a permis à la mandibule de retrouver un axe de fermeture centré, corrigeant les articulés croisés et restaurant une occlusion fonctionnelle. Le tout sans bagues ni extraction, uniquement par expansion orthopédique et rééducation fonctionnelle.






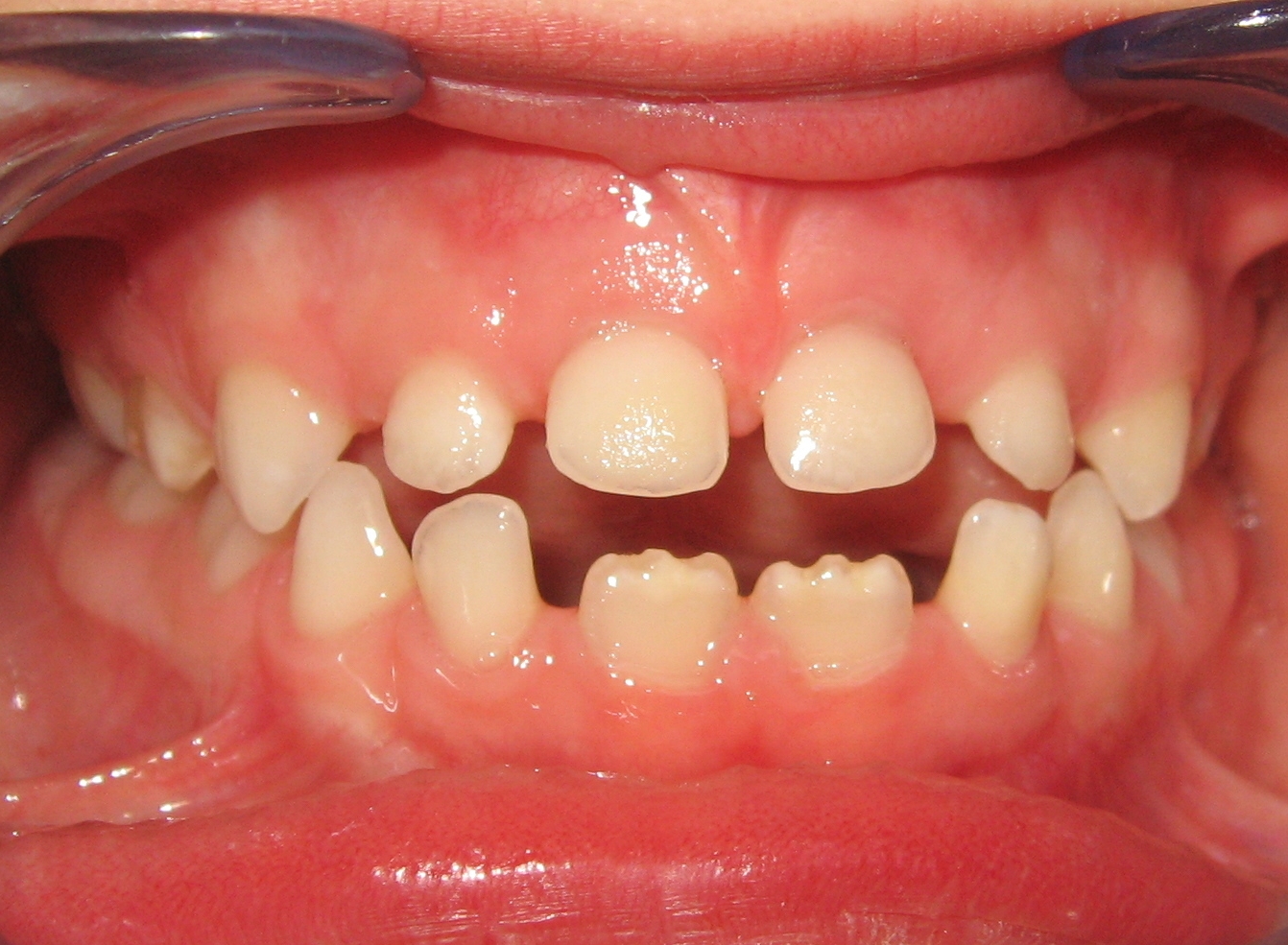
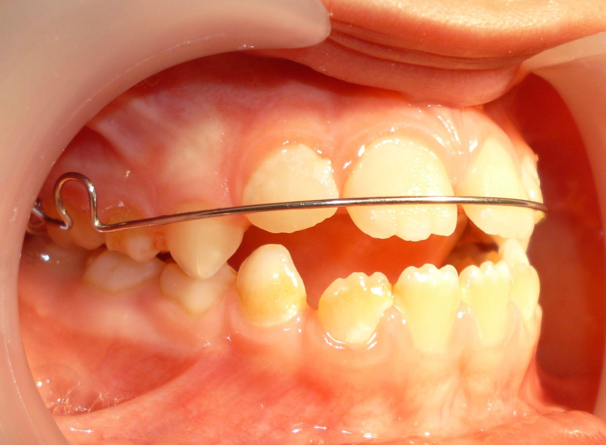
2 - Phases du traitement
Le traitement a consisté à élargir le palais par expansion orthopédique, ce qui a permis de corriger l’endomaxillie et de recentrer l’axe de fermeture mandibulaire. La latéromandibulie fonctionnelle s’est corrigée spontanément grâce à la restauration de la symétrie du maxillaire. La béance antérieure d’origine linguale s’est également résorbée sans traitement multiattaches.
La langue a retrouvé sa fonction naturellement, facilitée par l’augmentation du volume palatin. Deux dispositifs ont accompagné cette phase : le Froggy Mouth, utilisé en journée pour rééduquer les fonctions orales, et l’ELN (Enveloppe Linguale Nocturne) portée la nuit pour repositionner la langue dans une posture physiologique. Ces outils ont favorisé une rééducation fonctionnelle simple, sans orthophonie intensive, grâce à la normalisation de l’anatomie palatine.






3 - Visage avant/après
Les photos du visage montrent un redressement net de l’axe mandibulaire et une symétrie restaurée. Le menton n’est plus dévié, les bases osseuses sont équilibrées, et le visage retrouve une harmonie naturelle.
Ce traitement précoce a permis d’éviter un traitement orthodontico-chirurgical lourd à l’adolescence, qui aurait été inévitable si la latéromandibulie fonctionnelle s’était transformée en asymétrie squelettique fixée. Le succès repose ici sur le bon timing, la précision du diagnostic, et une stratégie thérapeutique centrée sur la croissance et la fonction.





