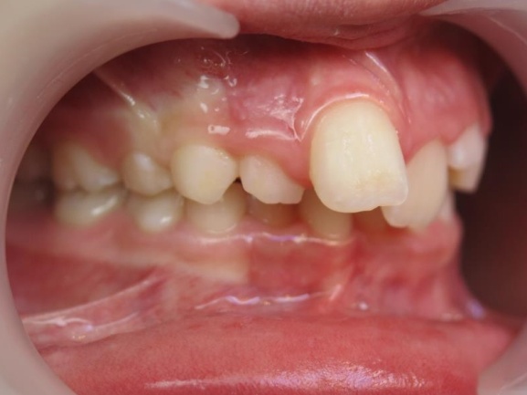
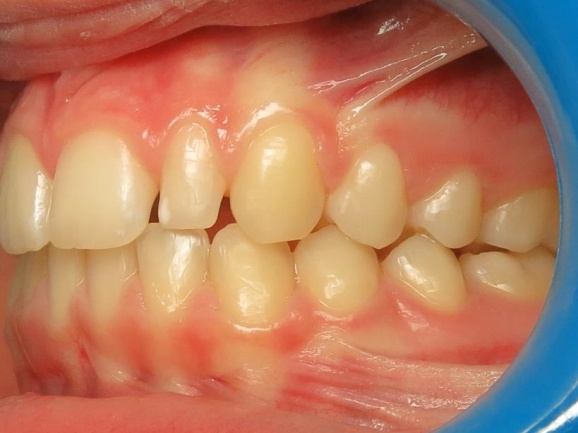
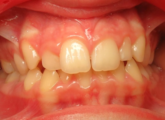
Ce cas montre qu’un encombrement dentaire impressionnant ne nécessite pas toujours des extractions. En traitant d’abord le décalage entre les mâchoires grâce à un travail orthopédique sur la croissance, on libère l’espace nécessaire. Une fois les bases osseuses équilibrées, l’alignement dentaire devient possible, comme la finition d’une maison après la maçonnerie.
1 - Avant et après traitement
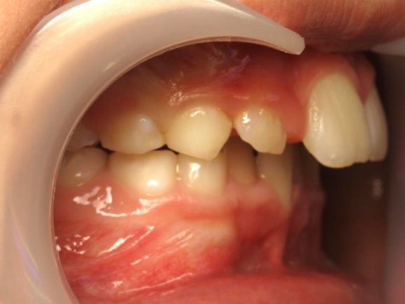
Un traitement orthopédique a permis d’optimiser la croissance des bases osseuses, offrant des conditions favorables à l’évolution de la dentition. Le traitement multiattaches a ensuite aligné les dents sur des structures squelettiques correctement développées.






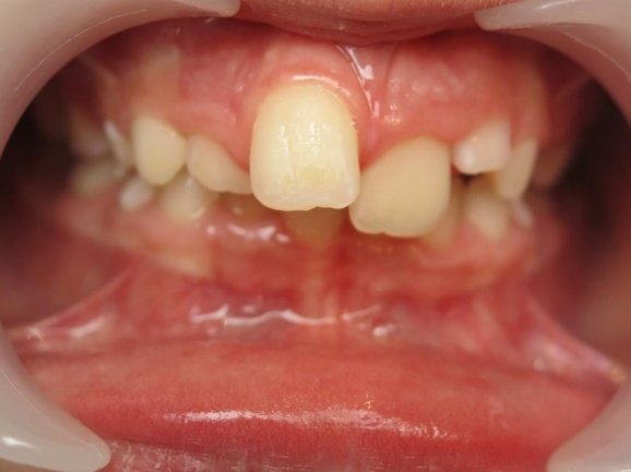
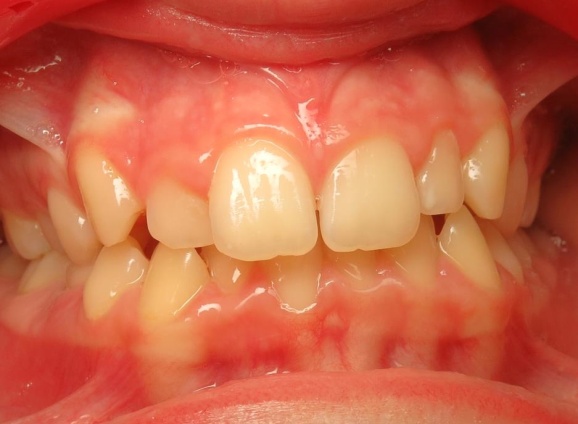
2 - Phase 1: Correction du décalage des mâchoires
Ce type de traitement, au résultat visuellement impressionnant, n’est possible que lorsque le problème vient du maxillaire supérieur trop en avant. Si c’est au contraire la mâchoire inférieure qui n’a pas assez grandi, le traitement est plus complexe et nécessite souvent une approche combinée orthodontie-chirurgie.






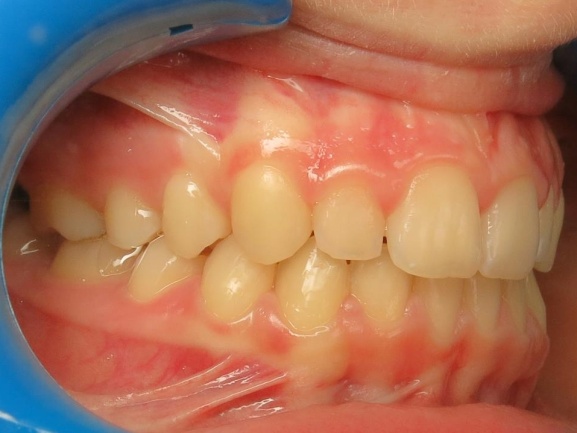
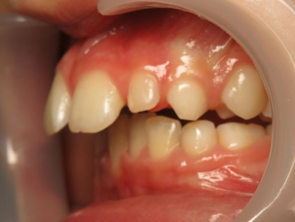
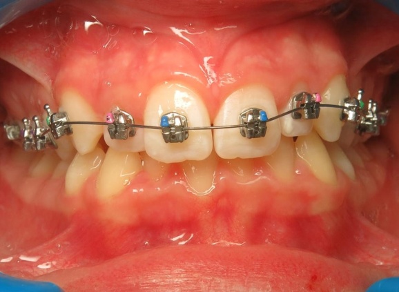
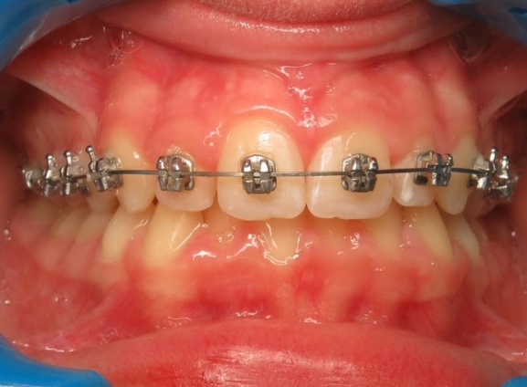
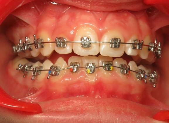
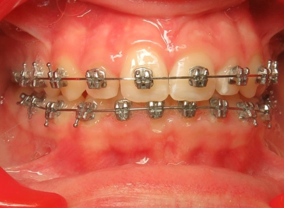
3 - Phase 2 : traitement orthodontique- alignement des dents et occlusion
Le traitement a d’abord consisté à corriger le décalage entre les bases osseuses des mâchoires par une phase orthopédique. Une fois cet équilibre rétabli, un appareil multiattaches a été mis en place pour aligner les dents sur des bases désormais bien positionnées. La dernière étape a permis de peaufiner les contacts entre les dents afin d’obtenir une occlusion fonctionnelle et stable.






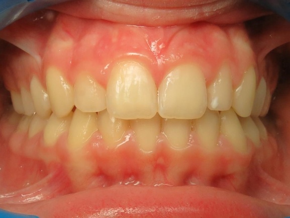
4 - Évolution du visage avant et après traitement.
Le profil est clairement amélioré. Ce traitement est une réussite à la fois fonctionnelle, en rétablissant une occlusion stable, et esthétique, avec un menton bien projeté. L’analyse céphalométrique de Delaire avait anticipé cette croissance favorable, confirmée par le résultat final conforme au diagnostic initial.





