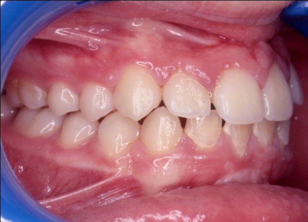
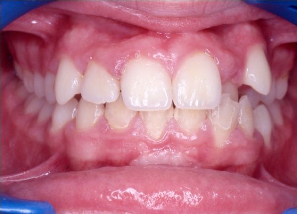
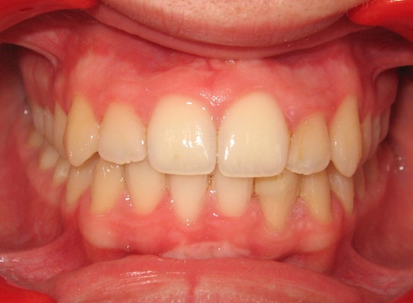
Ce cas illustre parfaitement que l’orthodontie ne peut pas se résumer à un simple alignement des dents. Ici, l’exclusion de la canine supérieure gauche (23) pouvait faire croire à un manque de place dû à un excès de volume dentaire. En réalité, un diagnostic précis a révélé deux causes : une endomaxillie (palais trop étroit) et une avancée anormale de l’hémiarcade gauche, qui empiétait sur l’espace de la canine. Le traitement a consisté à élargir le maxillaire par disjonction, puis à réaligner les dents sans extraction, en restaurant l’harmonie occlusale.
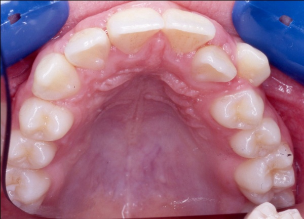
1 - Arcades avant/après
Le traitement a été conservateur, sans extraction, grâce à une thérapeutique de gain d’espace adaptée. L’arcade a retrouvé sa largeur, son équilibre et son esthétique, par la restitution d’une architecture osseuse et dentaire cohérente. L’occlusion est désormais fonctionnelle, stable et conforme aux rapports naturels entre les deux arcades.





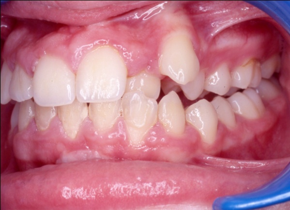
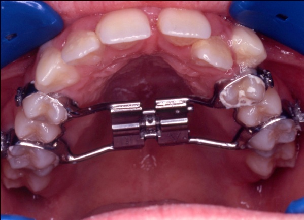
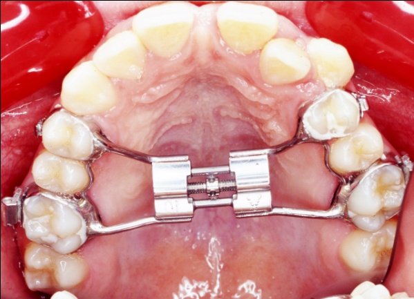
2 - Appareillage utilisé : expansion palatine et multiattaches
Cette étape montre l’utilisation d’un disjoncteur palatin pour élargir le maxillaire. Contrairement à la mandibule, le palais présente une suture médiane, véritable joint de croissance, que l’on peut activer chez l’enfant ou l’adolescent. En écartant progressivement les deux moitiés du maxillaire, on crée un gain d’espace réel, non dentaire. Cela permet de rétablir une largeur d’arcade suffisante, sans extraction, en amont de l’alignement multiattaches.






3 - Visage avant-après : un sourire retrouvé
Le sourire est nettement amélioré, grâce à une arcade élargie et des dents harmonieusement alignées. Le traitement a respecté l’esthétique faciale : le soutien des lèvres est conservé, l’angle naso-labial reste naturel. En évitant les extractions, on a préservé le volume labial et évité toute rétraction du profil. Ce résultat esthétiquement équilibré est aussi fonctionnel, sans compromis sur l’occlusion.






4 - Évolution du profil
Ces vues de profil montrent l’évolution faciale d’un adolescent, du début à plusieurs années après la fin du traitement. La croissance, active pendant le traitement en préadolescence, se poursuit ensuite, modifiant le profil et la position des dents. L’avancée naturelle du menton peut entraîner un encombrement incisif, souvent attribué à tort aux dents de sagesse, alors qu’il s’agit d’une adaptation à l’avancée de l’arcade inférieure. L’augmentation de la taille mandibulaire est bien visible sur le dernier profil.





