En orthodontie, aucune décision d’extraction ne doit relever d’une recette toute faite. Chaque cas demande une analyse fine, tenant compte à la fois de l’encombrement dentaire, de l’équilibre squelettique et de l’impact sur le profil. Ici, les extractions ont permis de résoudre l’encombrement sans reculer les incisives, préservant ainsi le soutien de la lèvre supérieure.
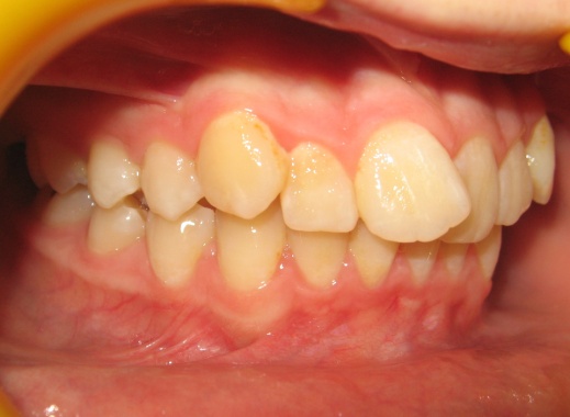
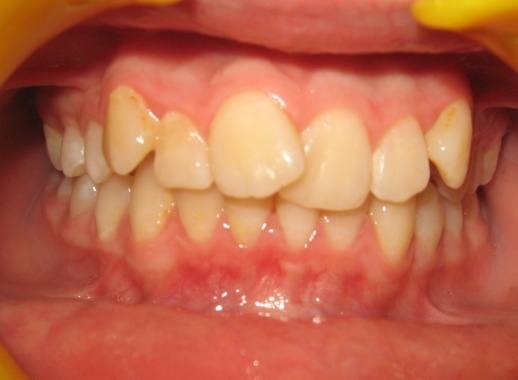
1 - Arcades dentaires avant-après
Les photos montrent un encombrement dentaire important associé à une classe II dentaire. Les extractions de prémolaires ont été décidées non seulement pour créer la place nécessaire à l’alignement, mais aussi pour corriger le décalage de classe II. Le résultat final illustre qu’un plan de traitement bien réfléchi peut répondre simultanément aux impératifs fonctionnels et esthétiques, sans compromettre l’harmonie faciale.





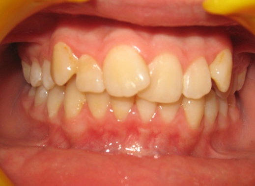
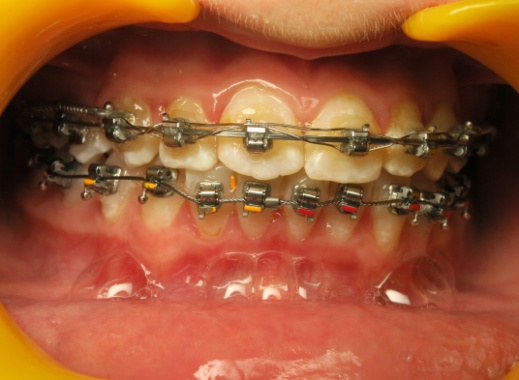
2 - Alignement par brackets autoligaturants
Le recul progressif des dents encombrées dans les espaces d’extraction créés à cet effet a été rendu possible grâce à l’utilisation de brackets autoligaturants, particulièrement efficaces pour respecter l’angulation et le torque des dents. Tous les espaces d’extraction ont été exploités pour résoudre l’encombrement, évitant ainsi tout recul des dents antérieures. L’occlusion obtenue est physiologique, en classe I canine et en classe II molaire thérapeutique.




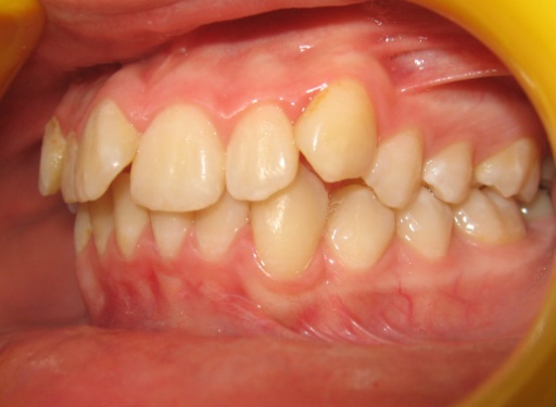
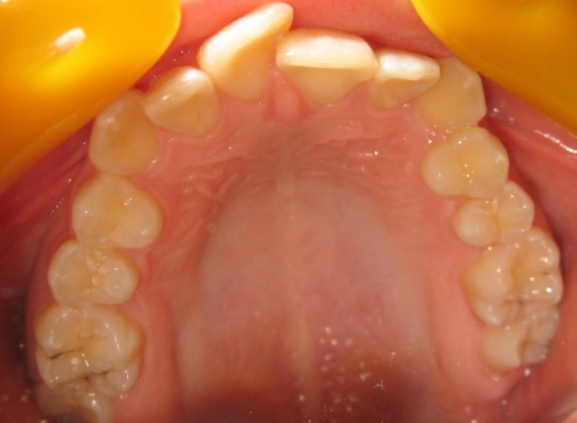
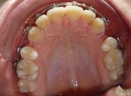
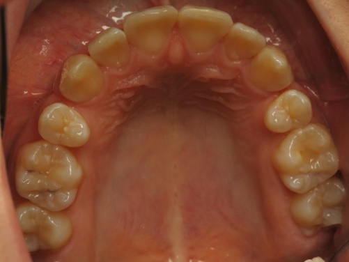
3 - Vues occlusales avec espaces d’extraction
Les vues occlusales montrent les espaces d’extraction des prémolaires au début du traitement, puis leur fermeture progressive. Les dents antérieures encombrées ont été alignées grâce au recul des canines dans ces espaces, sans déplacement des incisives centrales. La face vestibulaire de ces dernières est restée inchangée, préservant ainsi les rapports entre la lèvre supérieure et les incisives avant et après traitement. Les extractions n’ont donc pas entraîné de recul global, mais simplement créé la place nécessaire.




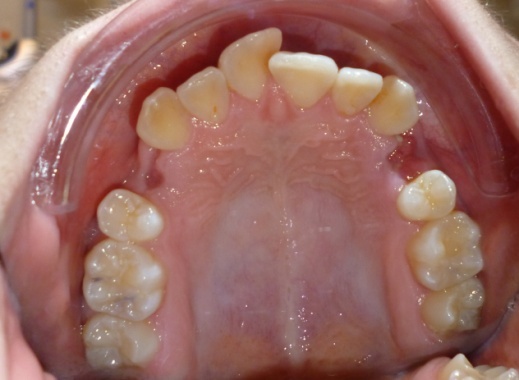
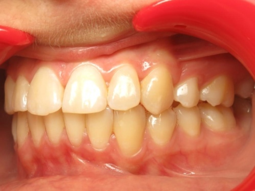
4 - Esthétique du sourire et profil préservé
Le traitement a permis à la patiente de retrouver un sourire harmonieux. Les lèvres n’ont subi aucun recul et l’angle nasolabial est resté inchangé, préservant l’équilibre naturel du profil. Ce résultat esthétique et fonctionnel montre que, dans certains cas, les extractions peuvent représenter la meilleure option thérapeutique pour traiter un encombrement et une classe II tout en conservant l’harmonie du visage. Dans ce cas précis, la conservation de toutes les dents était inenvisageable.





