Les diastèmes, ou espaces entre les dents, peuvent avoir plusieurs origines. Parfois, ils sont liés à un déséquilibre entre la taille des dents et celle des mâchoires : resserrer les dents dans ce cas réduit la place pour la langue et favorise les récidives. Mais ils peuvent aussi être créés par une langue qui, en poussant sur les dents lors de la déglutition, élargit l’arcade et provoque l’écartement. Restaurer une fonction linguale normale, sans contact avec les dents, permet alors de réduire naturellement le périmètre d’arcade et de stabiliser le résultat.
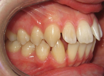
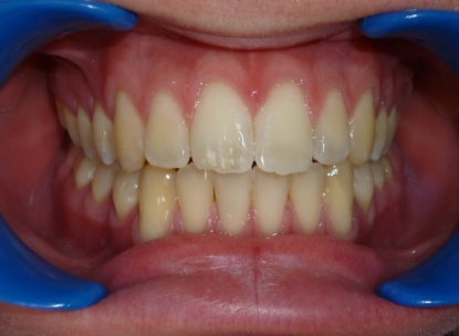
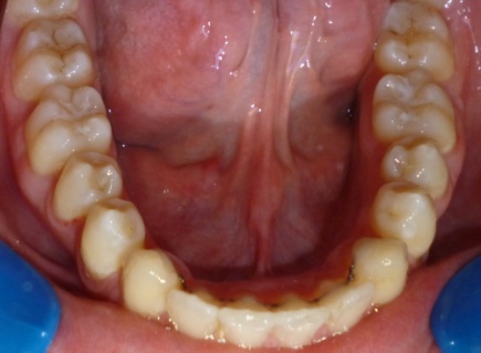
1 - Arcades dentaires avant-après
Les photos supérieures montrent de larges diastèmes dus à une poussée linguale. Les photos inférieures présentent la fin du traitement, avec des arcades aux dents parfaitement alignées et sans espaces. La fermeture a été obtenue grâce à une approche combinant appareillage orthodontique, traitement multiattaches et rééducation orthophonique. Cette dernière est essentielle : sans correction de la fonction linguale, la récidive est quasi certaine. Fermer mécaniquement les espaces est facile ; maîtriser la langue reste le véritable défi.





2 -
Le sourire après traitement montre la disparition du diastème grâce à l’action mécanique associée à la correction de la physiologie linguale. Cette fermeture s’accompagne d’une verticalisation des axes dentaires et d’une réduction du périmètre d’arcade. La réussite repose sur un diagnostic précis : taille des dents ou fonction linguale ? Sans changement de fonction, le résultat est instable et la récidive quasi certaine. De face, le sourire est visiblement amélioré par la suppression du diastème, préoccupation fréquente des patients. Cependant, sa fermeture n’est pas toujours médicalement indiquée : certaines personnalités comme Vanessa Paradis, Sylvie Vartan ou Yannick Noah ont conservé leur diastème, preuve qu’il existe souvent de bonnes raisons de ne pas le corriger.






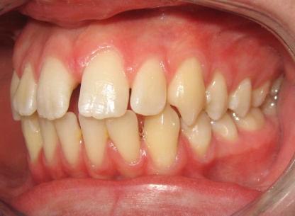
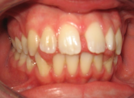
3 -
Une contention fixe supérieure et inférieure prévient la réouverture des espaces, mais la vigilance reste de mise : la langue peut reprendre ses mauvaises habitudes, surtout la nuit, lorsque le contrôle volontaire disparaît. Sur l’une des diapositives, on voit parfaitement l’énorme pulsion de la langue, telle un tsunami, créant les diastèmes et s’insérant même entre les dents à leur niveau. Un appareil fonctionnel nocturne a donc été utilisé pour guider la langue vers le palais et éviter toute poussée. Plus la rééducation est commencée tôt, plus les chances de succès sont élevées.





