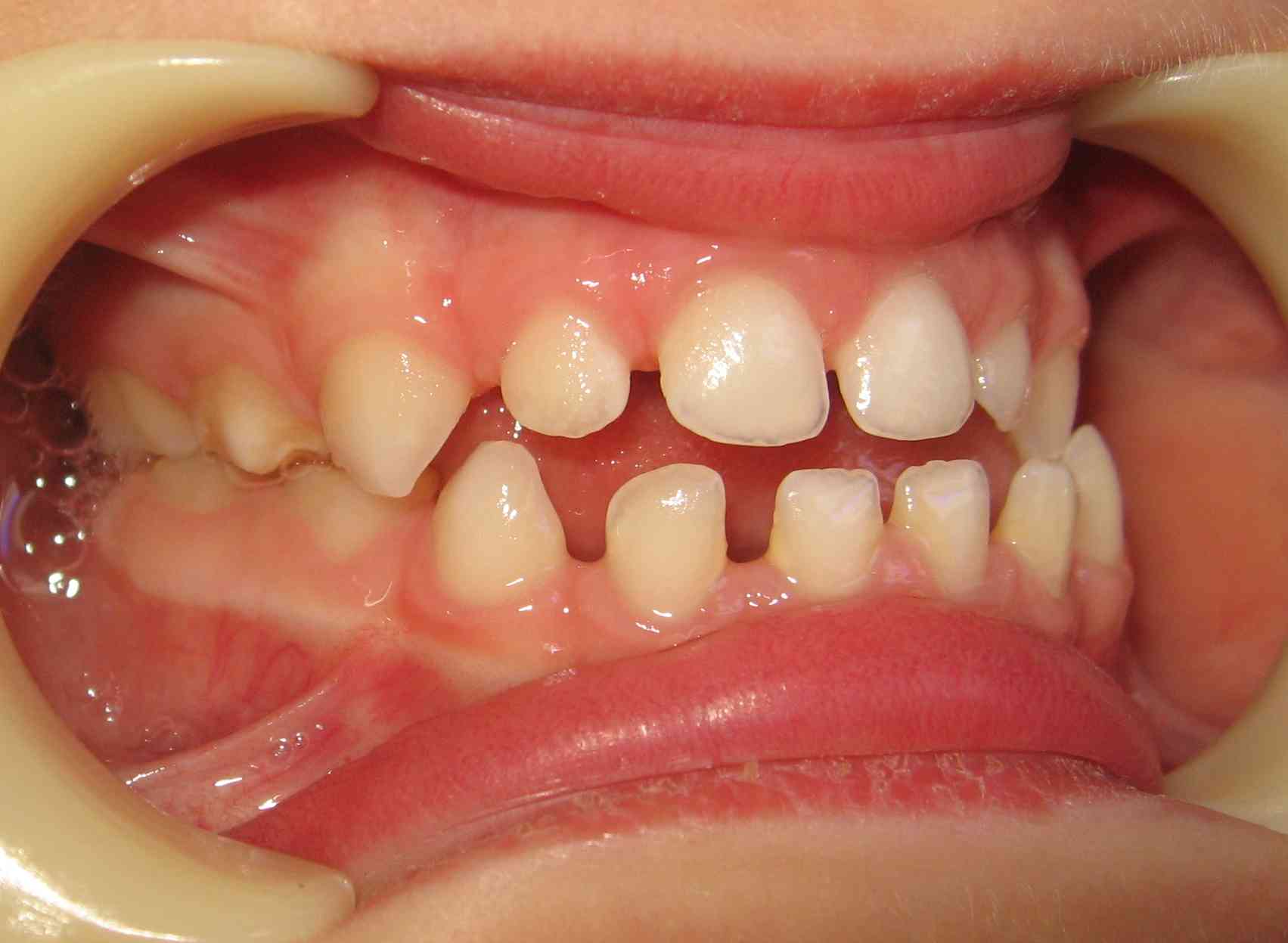
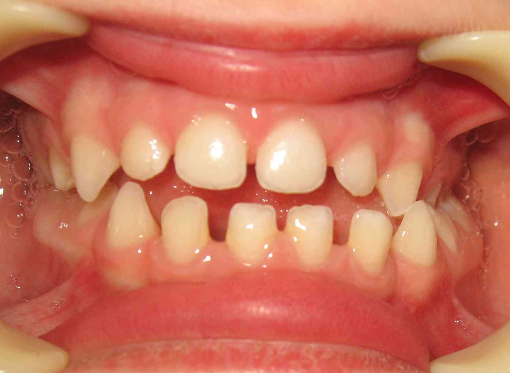
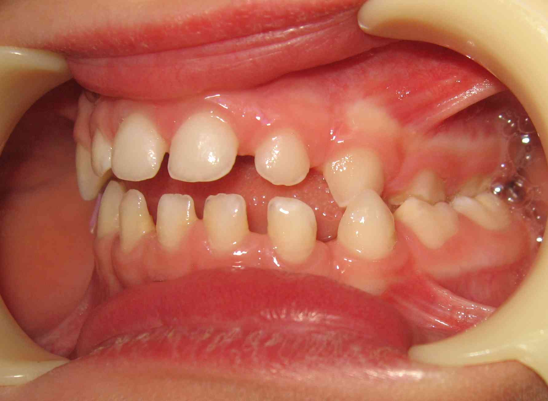
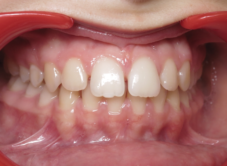
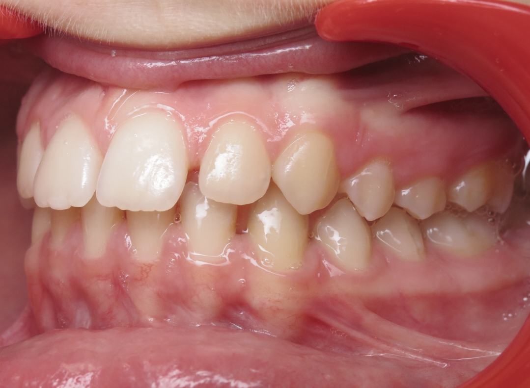
Chez les très jeunes enfants, la rééducation des fonctions orales peut être difficile en raison de la faible coopération. Pourtant, une prise en charge précoce est essentielle pour éviter l’installation durable d’une béance et de ses conséquences sur la déglutition, la respiration, la phonation et la mastication. Dans ce cas, un simple dispositif porté la nuit a suffi à rétablir la fonction linguale et l’harmonie du visage.
1 - Arcades dentairesavant/après
Chez les très jeunes enfants, la rééducation des fonctions orales peut être difficile en raison de la faible coopération. Pourtant, une prise en charge précoce est essentielle pour éviter l’installation durable d’une béance et de ses conséquences sur la déglutition, la respiration, la phonation et la mastication. Dans ce cas, un simple dispositif porté la nuit a suffi à rétablir la fonction linguale et l’harmonie du visage.






2 - Visages avant/après
Le visage montre une nette amélioration de l’équilibre labial. Grâce à la rééducation fonctionnelle, la langue a adopté une posture adulte (déglutition secondaire), la respiration s’est normalisée, et les lèvres sont désormais jointes au repos. L’ensemble du visage paraît plus serein, plus harmonieux. Ce changement témoigne d’une transition réussie vers une fonction oro-faciale équilibrée, obtenue sans bagues ni intervention invasive, uniquement par traitement fonctionnel bien conduit.

