En orthodontie, un même symptôme — comme un encombrement dentaire — peut avoir de nombreuses causes. Identifier la bonne est essentiel pour choisir la bonne stratégie. La mode du traitement unique par gouttières est une simplification trompeuse. Dans ce cas, un encombrement bi-maxillaire a été traité par expansion des arcades, ce qui a restauré l’esthétique et la fonction. Des extractions auraient compromis la mastication, l’harmonie du visage et même la respiration, en réduisant la largeur des fosses nasales.
1 - Expansion plutôt qu’extractions : préserver sourire et fonction
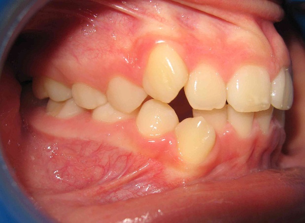
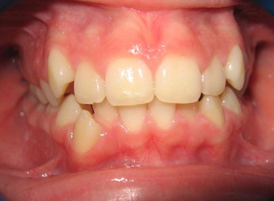
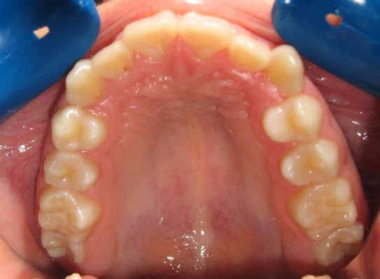
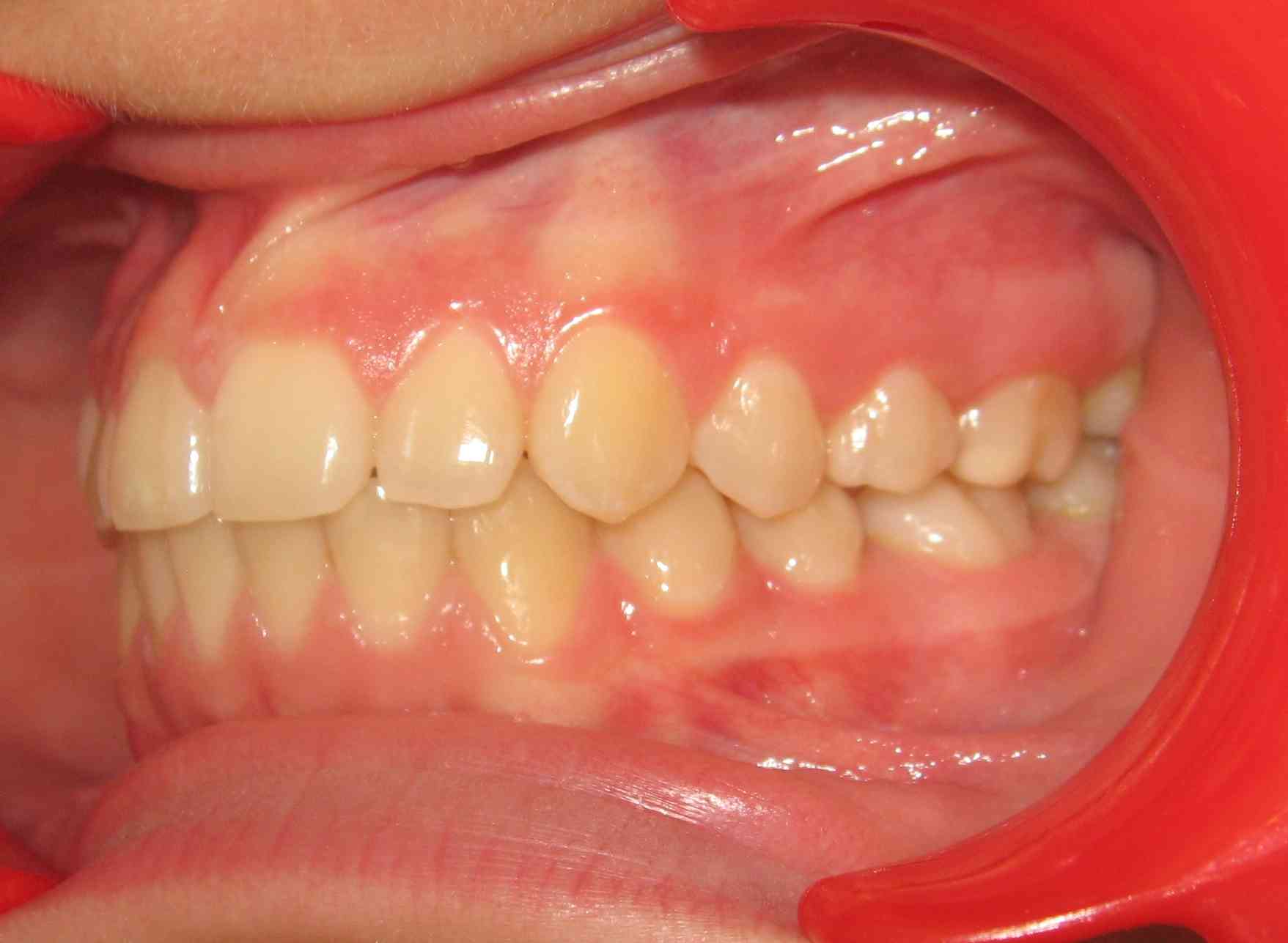
Les photos supérieures montrent un encombrement sévère des deux arcades. Face à ce type de situation, l’explication simpliste du “trop de dents” conduit souvent à proposer des extractions, présentées comme inévitables.
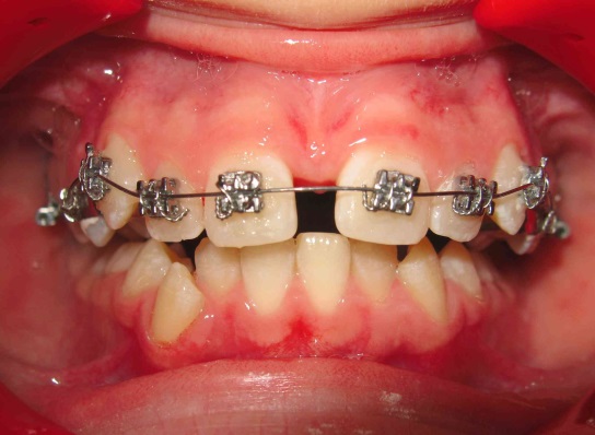
Ici, le choix a été conservateur : aucune dent n’a été extraite. L’expansion maxillaire a permis de créer l’espace nécessaire, tout en préservant l’intégrité parodontale et radiculaire.
Mais cette approche n’est pas transposable à tous les cas : mal indiquée, elle peut conduire à de véritables catastrophes thérapeutiques. Un diagnostic précis est donc indispensable, car dans une véritable dysharmonie dento-maxillaire (DDM), les extractions restent parfois la meilleure option.





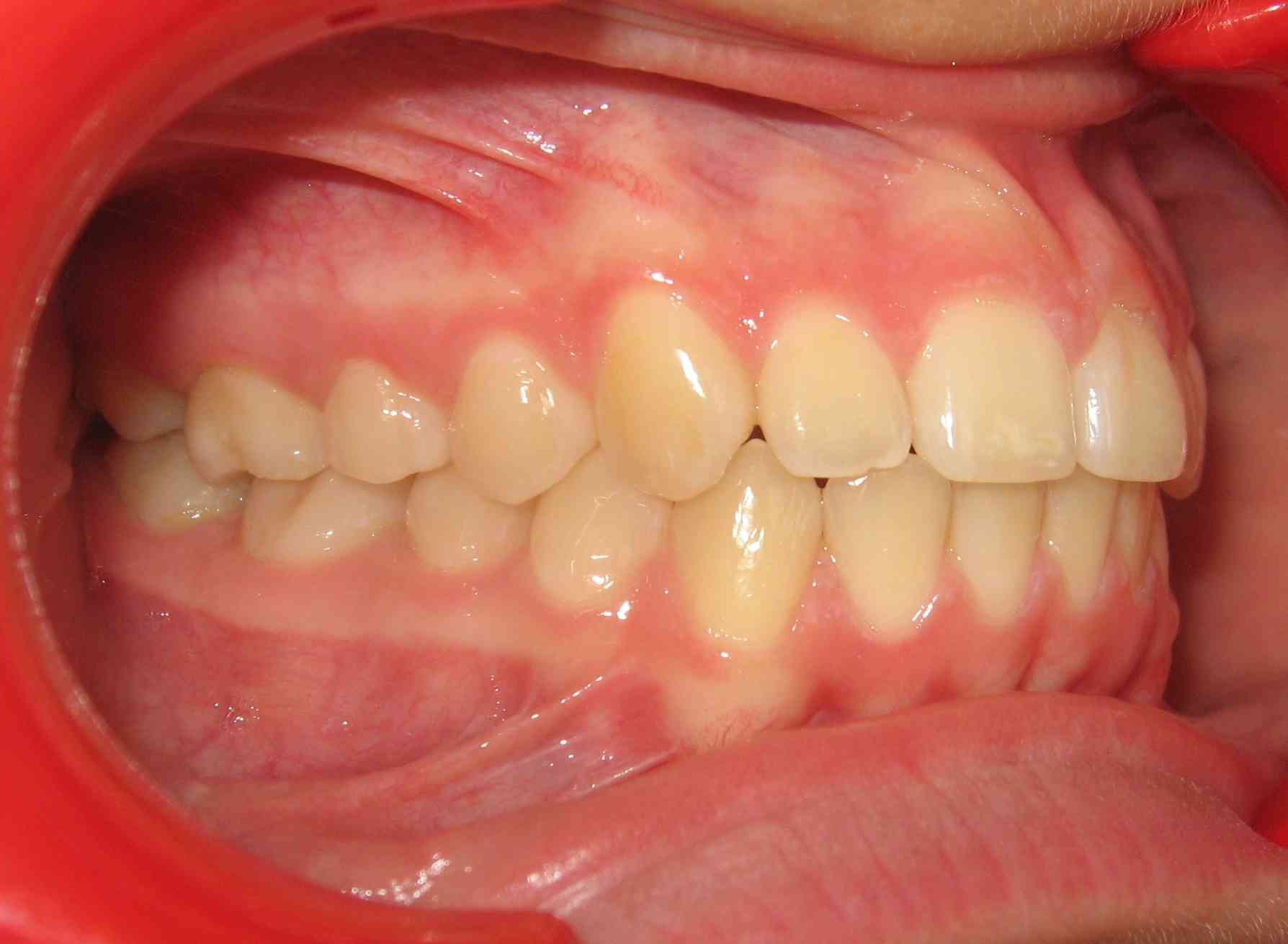
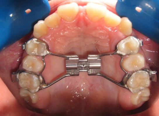
2 - Élargir le palais pour éviter les extractions… à condition de savoir quand le faire
Le palais, trop étroit, a été élargi à l’aide d’un disjoncteur, créant un diastème entre les incisives centrales. Cet espace a ensuite été utilisé pour aligner les dents manquant de place. Après cette expansion, un traitement multiattaches a permis d’obtenir une occlusion physiologique avec des arcades larges, sans aucune extraction. Dans un cas comme celui-ci, les gouttières seraient une aberration mécanique : elles provoqueraient des versions dentaires néfastes pour le parodonte, l’occlusion et la stabilité à long terme, malgré le discours marketing qui les encense.






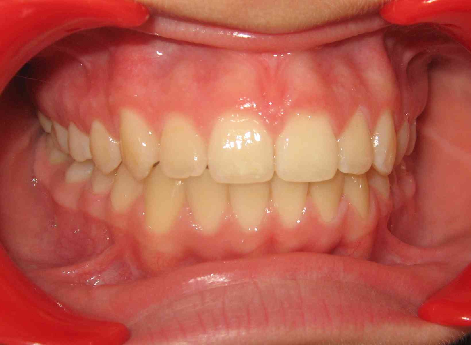
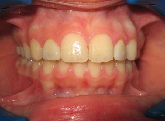
3 - Largeur du sourire et équilibre du profil : l’effet gagnant du traitement conservateur
Le traitement a permis de rétablir un sourire large et harmonieux, avec des arcades bien développées qui remplissent pleinement l’espace au sourire. Celui-ci est désormais éclatant. De profil, le soutien des lèvres par le bloc incisivo-canin est intact, l’angle nasolabial est resté identique, et la croissance mandibulaire a été favorisée par une occlusion fonctionnelle.
En cas d’extractions, le sourire aurait été plus étroit, le périmètre d’arcade réduit, les lèvres rétractées et le nez visuellement plus proéminent. Conserver les dents a ici permis de préserver un sourire plus communicatif et de sublimer l’esthétique globale du visage.





