Ce cas illustre les progrès récents en orthodontie grâce aux ancrages osseux. Jadis, reculer un bloc de dents postérieures avancé relevait du défi, nécessitant casques, élastiques ou mécanismes interarcades complexes, voire des extractions pénalisantes pour l’esthétique et la fonction. Aujourd’hui, de simples mini-implants en titane offrent un appui fixe directement sur le squelette, permettant de déplacer uniquement les dents ciblées avec précision et efficacité.

 

1 - Créer de la place là où il n’y en avait plus

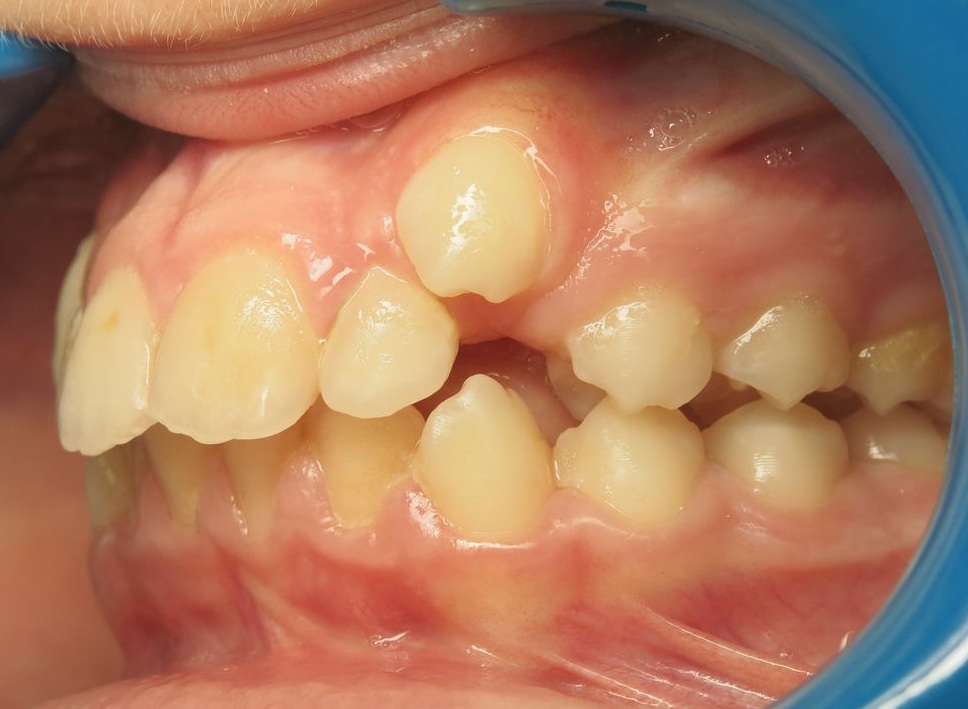
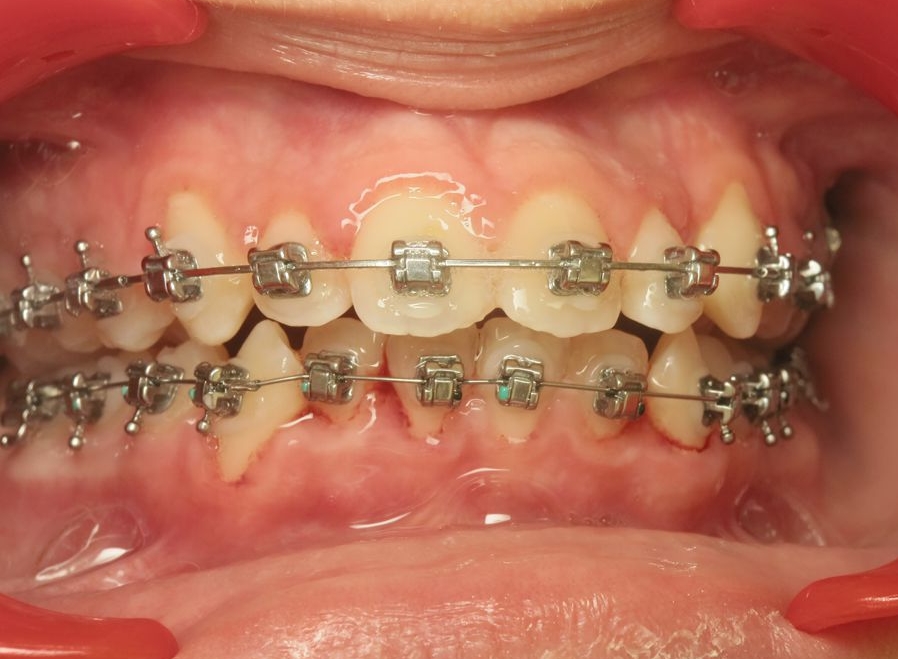
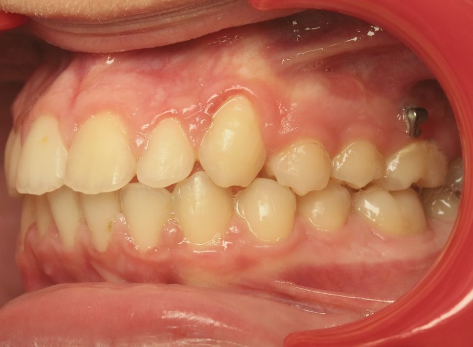
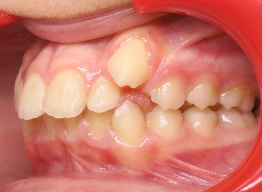
Avant traitement, la canine supérieure gauche (23) était exclue de l’arcade : les prémolaires et molaires gauches avaient avancé de 4 à 5 mm, réduisant l’espace disponible. Grâce à un ancrage osseux placé au-dessus de la deuxième molaire, toutes les dents postérieures ont été reculées, recréant la place pour la 23. L’articulé est passé d’une classe II à gauche à une classe I, sans extraction.

 


 
 
 

 

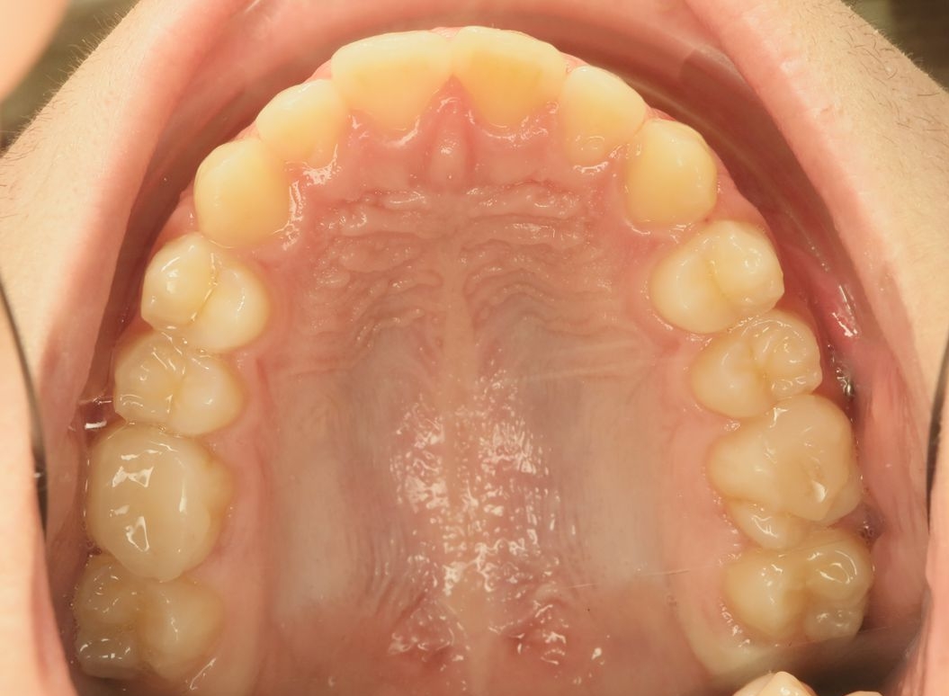
2 - Symétrie retrouvée et arcades réalignées

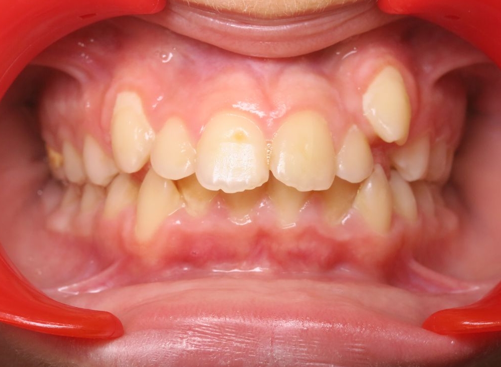
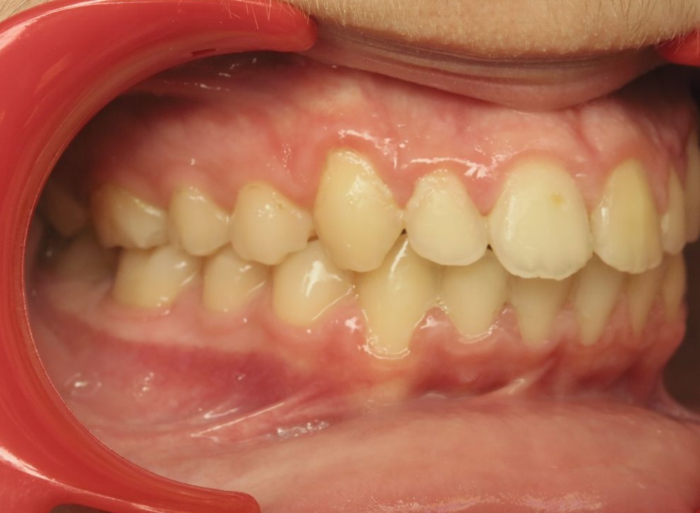
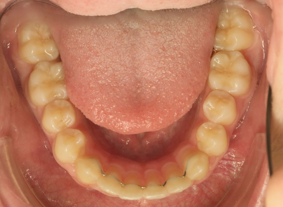
Avant traitement, l’arcade supérieure présentait une nette asymétrie : la molaire gauche était avancée, réduisant l’espace pour la canine (23) exclue de l’arcade. Après traitement, toutes les dents supérieures gauches ont été reculées, la 23 a retrouvé sa place et la symétrie avec le côté droit est rétablie. L’arcade inférieure, initialement encombrée, a également été parfaitement alignée.

 


 

 

 

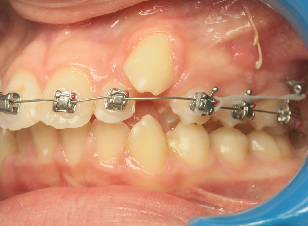
3 - Bouger uniquement ce qui doit l’être

L’ancrage squelettique, placé au-dessus de la deuxième molaire supérieure droite, a permis de reculer deux prémolaires et deux molaires gauches sans s’appuyer sur les autres dents. Grâce à cet ancrage type Bollard, la mécanique est ciblée : d’abord recréer l’espace pour la canine (23), puis l’aligner, tout en préservant le reste de la dentition. Une approche impossible à réaliser aussi efficacement avec des mécanismes intermaxillaires… et encore moins avec des gouttières d’alignement.

 


 

 

 

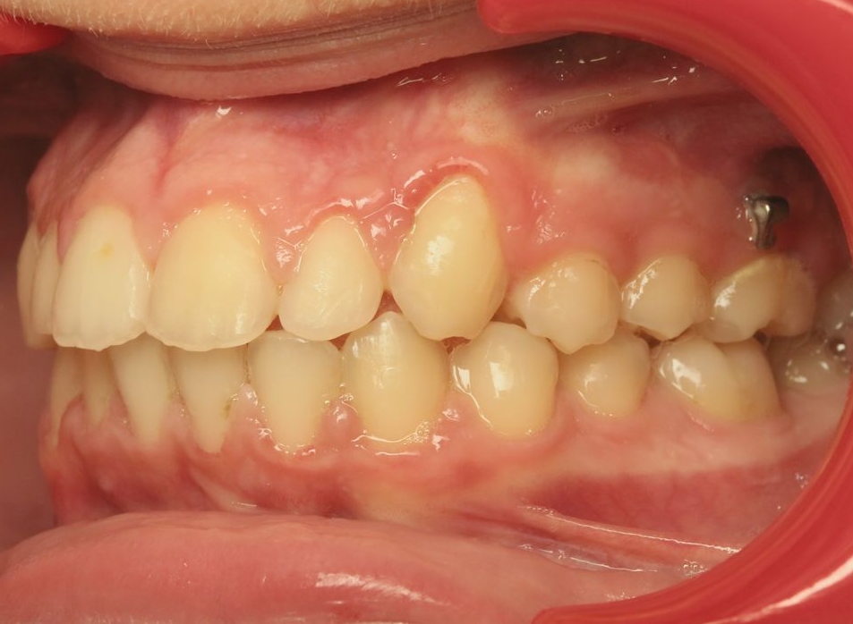
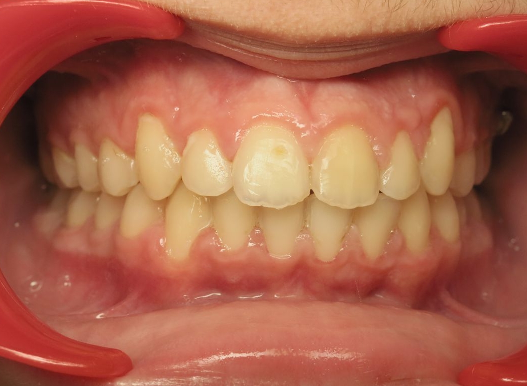
4 - Un sourire retrouvé en quelques mois

Avant traitement, le sourire était déséquilibré par l’absence de la canine gauche dans l’arcade. Après quelques mois, la réintégration de la 23 a rendu le sourire harmonieux et naturel. Le profil reste légèrement rétrusif, avec un menton en retrait, reflet d’une architecture crânio-faciale de type classe II. Malgré cela, les arcades ont été équilibrées et l’occlusion est devenue pleinement fonctionnelle.