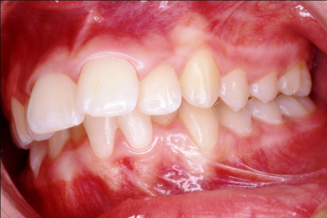
Ce cas illustre comment des extractions dentaires, loin de se limiter à gérer un encombrement, peuvent remodeler l’harmonie faciale. La patiente présentait un sourire très denté : au sourire, les arcades semblaient “sortir” de la bouche. L’extraction de prémolaires, associée à des techniques orthodontiques spécifiques (ancrages osseux ou forces extra-orales), a permis de réaligner les dents et de repositionner les arcades à l’intérieur de la bouche, améliorant à la fois le sourire et le profil — un résultat impossible à obtenir avec de simples gouttières d’alignement.

 

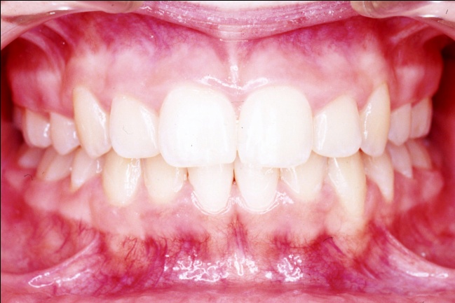
1 - Arcades dentaires avant-après traitement

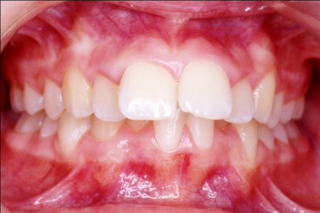
Les photos montrent, avant traitement, des dents supérieures projetées vers l’avant et encombrées. Après traitement, les arcades, ayant subi l’extraction de prémolaires, présentent un articulé redevenu normal et un alignement complet. Ce résultat positif ne reflète pourtant pas toute l’ampleur des changements : en orthodontie, les dents soutiennent directement les lèvres, et toute modification de leur position influence le profil. Ici, le repositionnement dentaire a eu un effet déterminant sur l’harmonie des tissus mous.

 


 
 
 

 

2 - Quand l’orthodontie redessine le visage

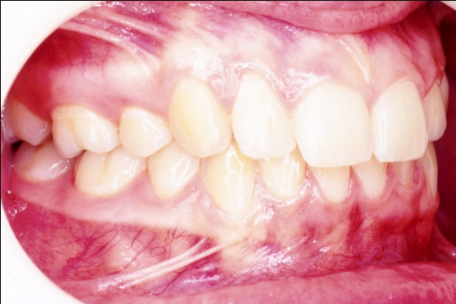
Avant traitement, le sourire de profil montre des dents projetées hors de la cavité buccale, avec une incompétence labiale marquée et un profil cutané présentant une biprochélie importante associée à un angle nasolabial très fermé. Après traitement, la transformation est spectaculaire : les dents sont repositionnées dans la bouche, les lèvres se ferment naturellement au repos, le profil est harmonisé, moins protrusif, et l’angle nasolabial a retrouvé une ouverture normale.

 


 

 

 

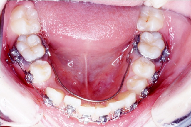
3 - L’art du contrôle en orthodontie

Le traitement a reposé sur des extractions ciblées et une mécanique orthodontique complexe, utilisant la méthode de Tweed avec ancrage maximal pour reculer les dents antérieures sans avancer les dents postérieures. Cette rétraction des blocs incisivo-canins a permis de repositionner les lèvres et d’harmoniser le profil. Un tel contrôle des mouvements dentaires est impossible avec de simples gouttières d’alignement, qui ignorent l’impact sur les tissus mous.

 


 

 

 

4 - Quand les extractions embellissent… ou enlaidissent

Le changement est spectaculaire : le sourire et le profil sont métamorphosés, avec un effet attendu sur le développement psychologique de l’enfant. Ici, les extractions étaient pleinement justifiées par un profil initial très biprotrusif, permettant une nette amélioration esthétique. Mais appliquée à un profil normal, la même mécanique pourrait avoir l’effet inverse : lèvres rétractées, ourlet naturel perdu et angle nasolabial ouvert, donnant une proéminence excessive au nez.