Ce cas illustre qu’un traitement orthodontique ne peut pas résoudre à lui seul un décalage squelettique important. La mandibule étant nettement en retrait, le patient présentait un contact traumatique entre les incisives inférieures et le palais, provoquant des blessures lors de la mastication. Il s’agissait donc avant tout d’une indication fonctionnelle , et non simplement esthétique. Un traitement orthopédique aurait été inefficace, et des extractions auraient compromis l’esthétique du profil. La chirurgie orthognathique s’imposait, après une préparation orthodontique rigoureuse.
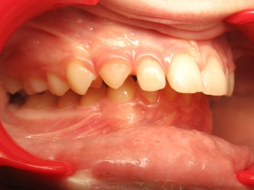
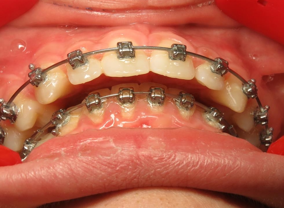
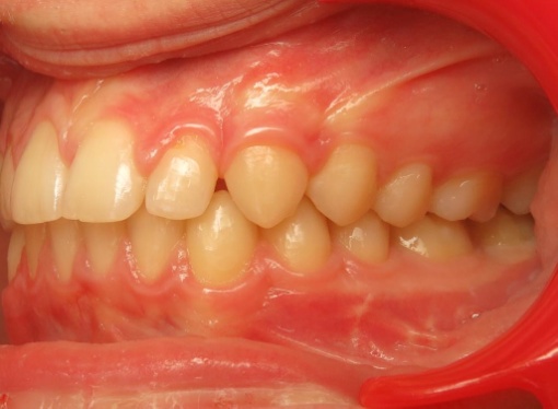
1 - Arcades dentaires avant-après
Les arcades dentaires montrent un décalage majeur de classe II, avec des incisives inférieures en position très reculée, venant directement au contact du palais. Cette configuration traduisait un déséquilibre squelettique important entre maxillaire et mandibule. Le traitement a consisté en une préparation orthodontique rigoureuse, suivie d’une chirurgie orthognathique permettant de repositionner les bases osseuses et de restaurer une occlusion fonctionnelle.





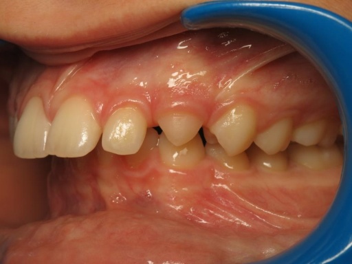
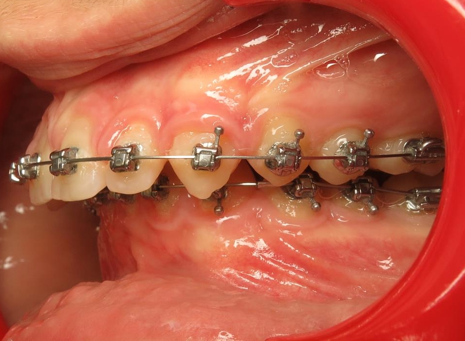
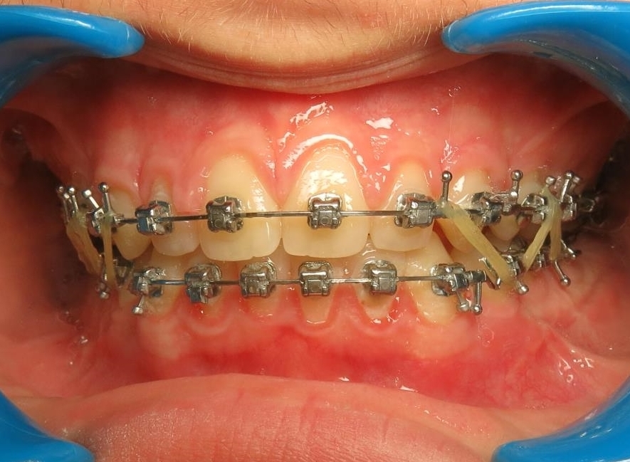
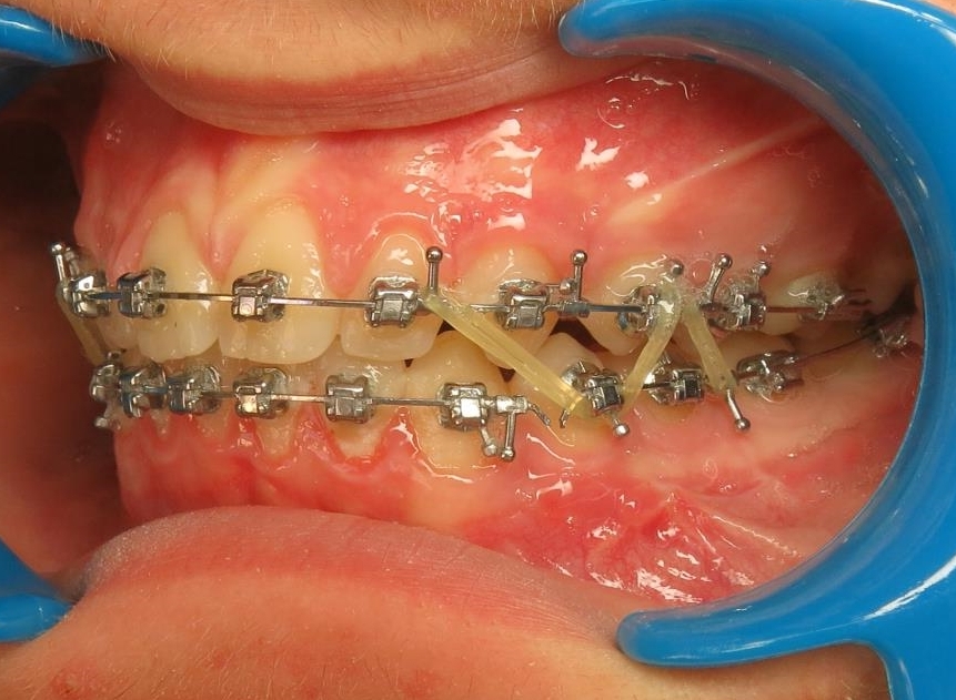
2 - Préparation orthodontique et résultat après chirurgie
Les photos supérieures montrent les arcades juste avant la chirurgie, avec un alignement complet et des axes dentaires physiologiques. La largeur de l’arcade maxillaire a été préparée pour permettre un emboîtement optimal après l’avancée mandibulaire. En bas, les photos post-opératoires montrent des arcades désormais coordonnées, avec une occlusion stable et harmonieuse, grâce à une préparation rigoureuse en amont de l’intervention chirurgicale.






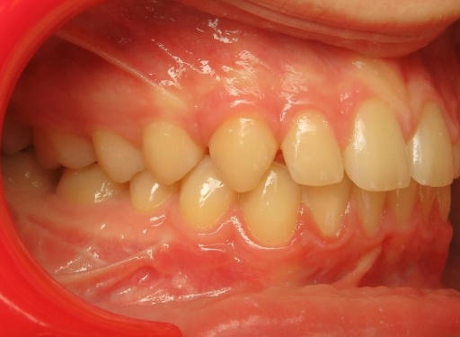
3 - Effets de la chirurgie sur le profil
La chirurgie a permis une nette amélioration du profil par allongement de la branche horizontale de la mandibule. Le menton avance, le sillon labio-mentonnier s’adoucit, et l’équilibre facial est rétabli. Ce résultat esthétique n’était pas l’objectif premier du traitement, mais il en est la conséquence directe. Le profil est devenu plus harmonieux et rappelle, sans exagération, celui des visages emblématiques du cinéma américain.


4 - Évolution du profil dans le temps après chirurgie
Les deux photos du haut montrent le profil avant la chirurgie ; celles du bas, à distance de l’intervention. On observe une stabilité remarquable du résultat dans le temps. Réalisée avant la fin de l’adolescence, la chirurgie permet aux structures osseuses et aux muscles de s’adapter mutuellement. Le reliquat de croissance post-opératoire consolide les fonctions. Ce cas illustre les concepts du Pr Jean Delaire, mon mentor, selon lesquels l’équilibre anatomique conditionne l’équilibre fonctionnel.(Chirurgien Dr H.Abbar)



