Ce cas illustre l’intérêt d’un traitement orthodontico-chirurgical dans une classe III d’origine squelettique, avec rétromaxillie et endomaxillie. Ni l’orthodontie ni les traitements orthopédiques précoces ne peuvent compenser un tel déficit osseux, surtout s’il est lié à une base du crâne défavorable. Ici, l’avancée du maxillaire d’environ 10 mm a permis de restaurer l’équilibre facial. L’objectif était fonctionnel autant qu’esthétique : améliorer la respiration, la phonation, la mastication et la posture linguale.
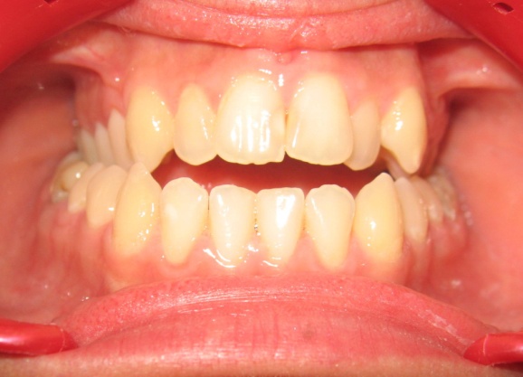
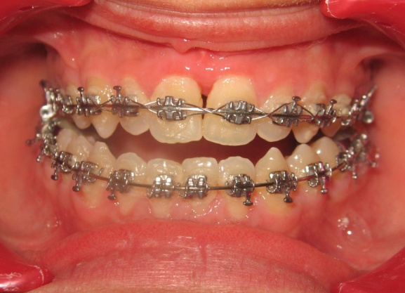
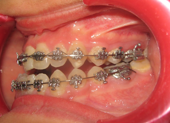
1 - Arcades dentaires avant-après
Les arcades montrent un articulé croisé antérieur et latéral, typique des classes III avec rétromaxillie. Après traitement, les dents sont alignées et l’occlusion normalisée. Mais cette correction d’apparence dentaire cache un déplacement squelettique majeur : c’est bien le maxillaire qui a été avancé, rétablissant les rapports entre les deux arcades. Ce type de résultat ne peut être obtenu par un traitement orthodontique seul, même précoce.





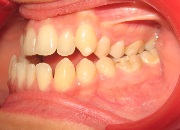
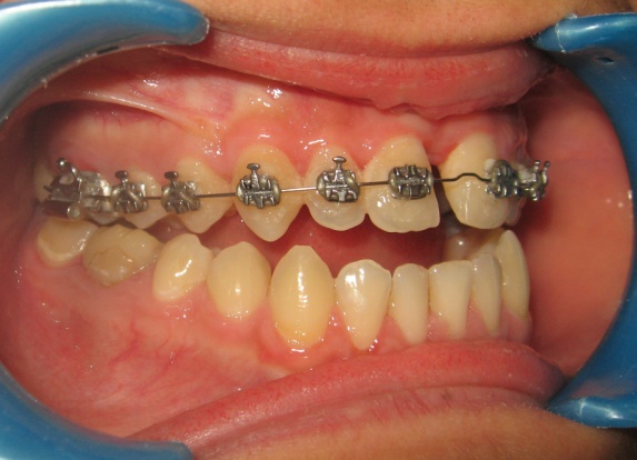
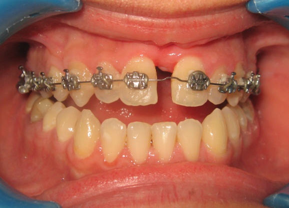
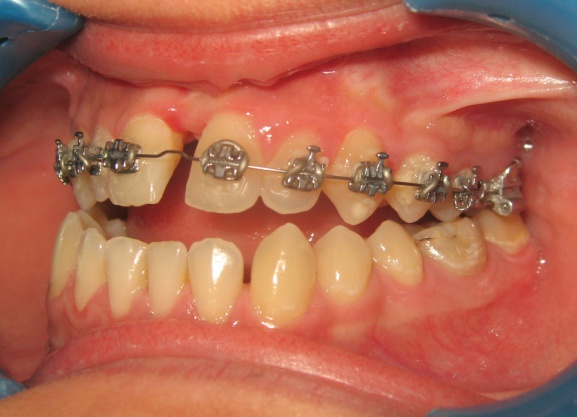
2 - Traitement orthodontique préchirurgical
La préparation préchirurgicale a consisté en une disjonction maxillaire pour corriger l'étroitesse du palais et permettre un emboîtement correct avec la mandibule lors de l'avancée. Cette expansion a aussi prévenu un encombrement dentaire en rétablissant une harmonie entre la taille de l'os et le volume dentaire. En effet, un palais trop étroit limite l'espace disponible pour loger toutes les dents. L'alignement final a été réalisé par un traitement multiattaches.






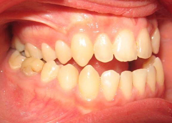
3 - Résultat sur le visage
Le profil initial montre un étage moyen facial en retrait : c’est le maxillaire qui est trop en arrière. L’avancée chirurgicale du maxillaire a permis de rétablir un équilibre facial global. La mandibule, de taille normale voire augmentée, n’a pas été modifiée, car on ne recule jamais une mandibule en classe III sans risquer d’induire un syndrome apnéique ou des ronflements. Le visage retrouve ici son harmonie sans compromettre la fonction.





