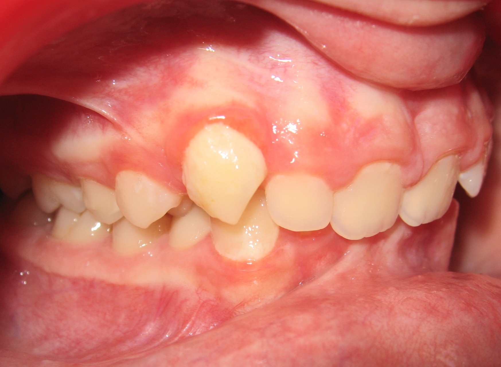
Ce cas illustre une erreur fréquente : croire que des dents « mal rangées » sont un problème isolé. Ici, l’encombrement et la supraclusie ne sont pas dus dans ce cas à un manque de place ou à des dents trop grosses, mais à un décalage entre les mâchoires. La mandibule étant en retrait, les dents du haut ont compensé en se positionnant vers l’arrière. Le traitement a dû composer avec cette cause squelettique sous-jacente.
1 - Arcades avant/après
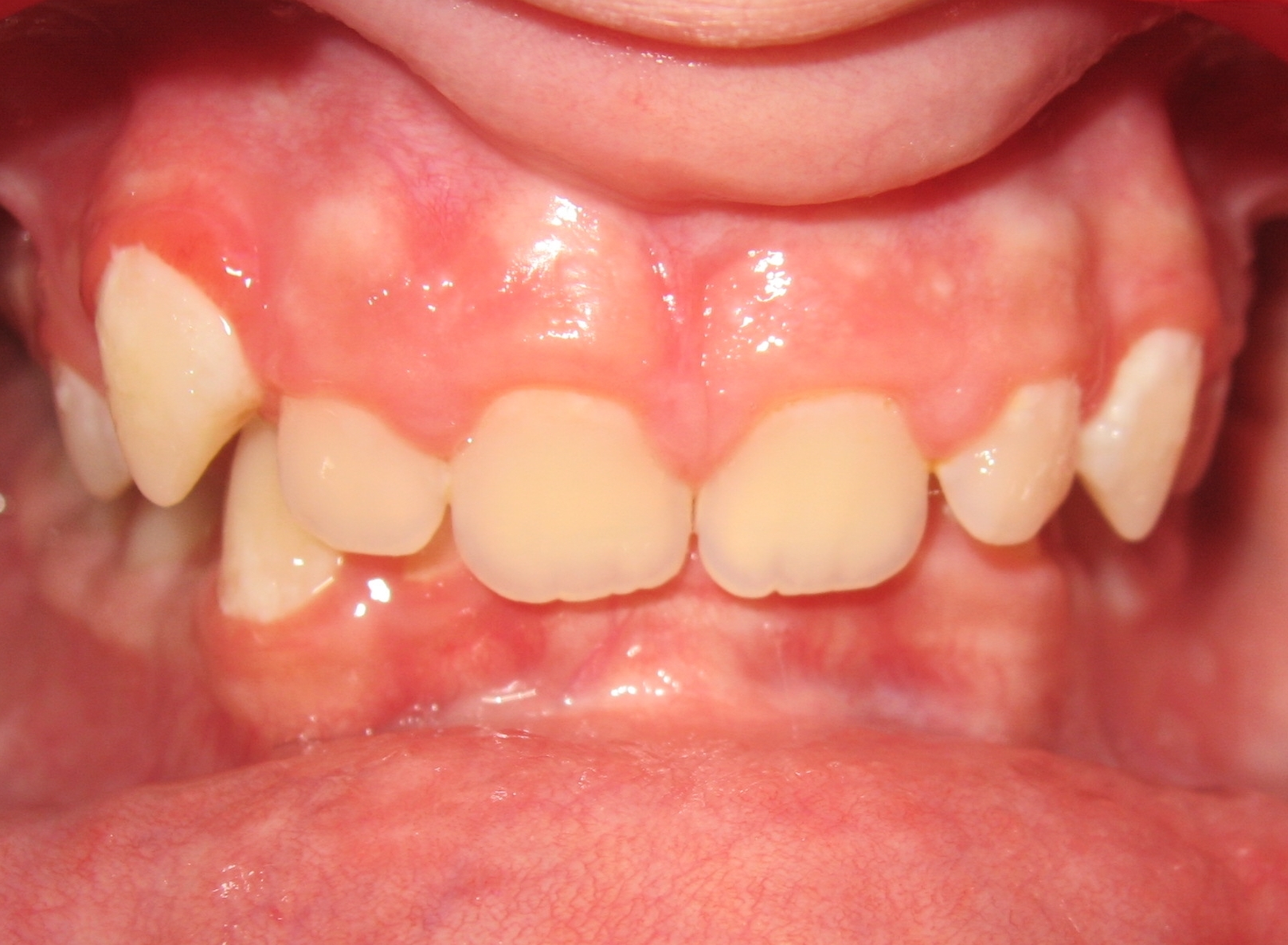
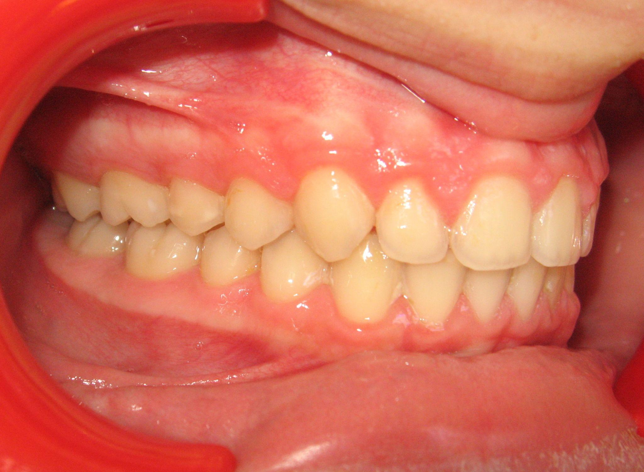
Avant traitement, les dents étaient fortement chevauchées et les dents supérieures recouvraient largement celles du bas. Grâce à un traitement multi-attaches bien conduit, l’alignement a été restauré et la supraclusie corrigée. Le décalage entre les mâchoires a été masqué par des mouvements dentaires appelés compensations dento-alvéolaires. Le résultat final est stable et très satisfaisant sur le plan esthétique.





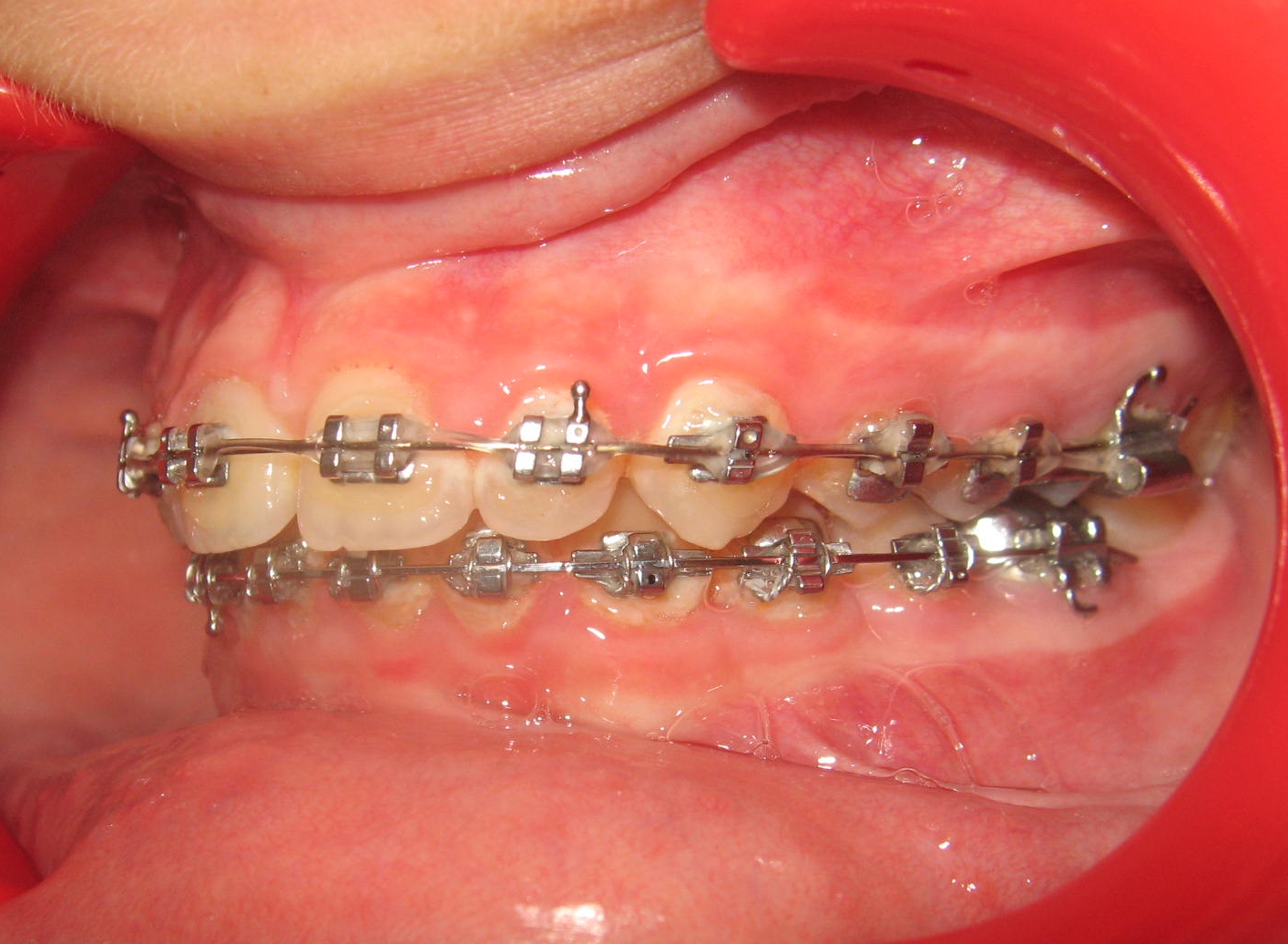
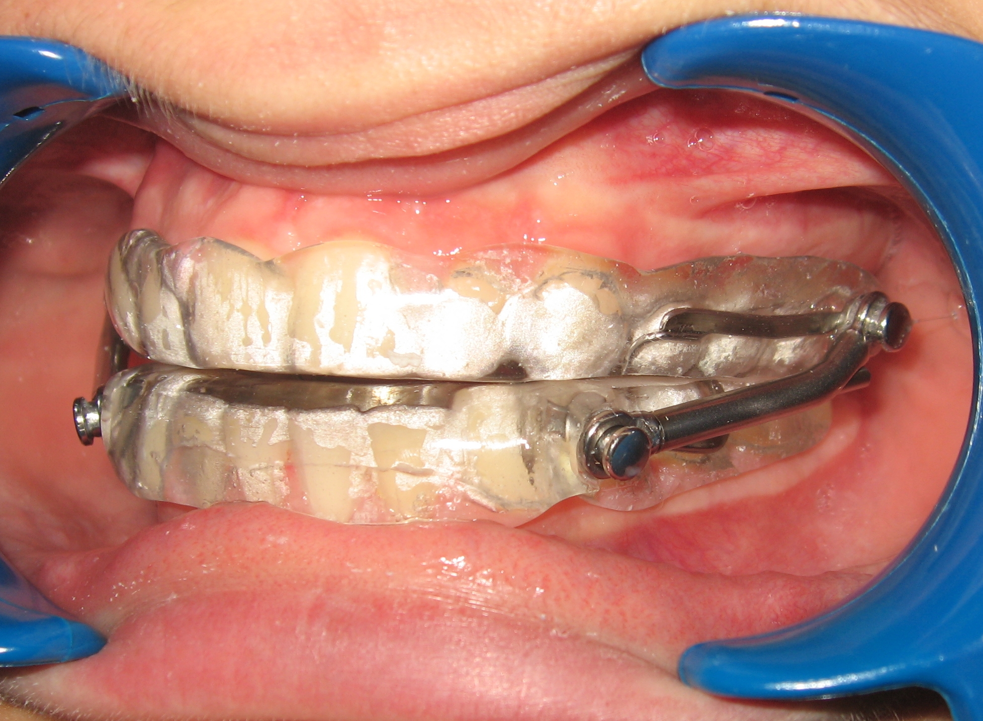
2 - Traitement et appareillage utilisé : un protocole en deux temps pour corriger la classe II-2
Le traitement a débuté par la pose de bagues multi-attaches pour aligner les dents et redresser les incisives supérieures, typiquement inclinées vers l’arrière en classe II-2. Cette décompensation a été suivie du port nocturne d’un appareil orthopédique (activateur), destiné à corriger le décalage entre les arcades. Cette approche combinée a permis de raccourcir la durée du traitement et de stabiliser les résultats.




3 - Visage avant/après
Le sourire est visiblement plus harmonieux et les dents bien alignées, ce qui améliore l’esthétique générale. En revanche, le profil reste inchangé : la bielle de Herbst a été efficace sur les tiroirs dento-alvéolaires mais n’a pas modifié la croissance mandibulaire, qui reste génétiquement programmée. Le sillon labio-mentonnier reste marqué. Pour modifier réellement le profil, seul un traitement orthodontico-chirurgical sans compensation aurait permis d’avancer la mandibule dans sa globalité.





